Clear Aligner Therapy: How Dental Practices Can Maintain Success in the New Era of Patient Care

Payam C. Ataii, DMD

July 2021 Course - Expires Wednesday, July 31st, 2024

Inside Dentistry

Abstract

Dental consumers are increasingly seeking dental services, such as clear aligner therapy, that are more convenient and affordable and that reflect their purchasing habits, which have increasingly shifted to online shopping. A few clear aligner companies have achieved success by implementing direct-to-consumer campaigns and creating consumer demand for clear aligners, utilizing a business model that has been disruptive to traditional dental and orthodontic practices. By adopting a hybrid model, dental providers may strike a balance between providing traditional dental services and offering patients more convenient and affordable aligner therapy. In partnering with a clear aligner company to provide a hybrid approach, dental providers are enabled to maintain the success of their practice in a changing marketplace.

You must be signed in to read the rest of this article.

Login Sign Up

Registration on CDEWorld is free. You may also login to CDEWorld with your DentalAegis.com account.

Since the advent of the World Wide Web in the late 1980s,1consumers have increasingly shifted their purchasing habits toward online in-home shopping.2,3 Most recently, consumers have also been purchasing more "disruptive technology" products and services. Simply defined, disruptive technologies are innovative business models that provide greater convenience, affordability, and improved experience in terms of their products and services than traditional business models, as exemplified by Uber and Lyft's disruption of the traditional taxi industry.4,5 In recent years, healthcare business models have evolved to address this shift in consumer engagement, with newer consumer and patient-centric disruptive models edging out their traditional counterparts.6-8 Dentistry has been no exception to this trend. In the dental industry, a growing number of companies are offering more patient-centric business models that provide consumers with greater convenience, more control, and less expensive initial engagements.9,10 Dental consumers are increasingly seeking dental services, such as clear aligner therapy, that are more convenient and affordable11 and that mirror the experience that they have become accustomed to with the Internet Economy and online shopping.12 With the shift in consumer purchasing habits, technological advances, and the recent impact of the pandemic on the world economy, dental practices are currently taking steps to stay competitive and survive in this changing marketplace.

ACHIEVING A BALANCED RELATIONSHIP

By definition, disruptive technologies "shake up" traditional models. When Uber and Lyft entered new markets, both companies were faced with opposition from players within the taxi industry as well as from federal, state, and local bodies. All parties eventually found a middle ground to address the explosive demand for the services that the new companies were offering.13

In the case of clear aligner therapy, new entrants with disruptive technologies are experiencing a similar oppositional response from traditional dental practices and the dental industry.14-16 However, the consumer demand for these newer healthcare models cannot be ignored. For dental practitioners who are seeking to compete in this market, a balance must be struck between consumer demand and the new technologies, rather than perceiving the patient-centric disruptive business models to be the enemy. To achieve that balance and succeed in providing services to their patients, dental practitioners must understand the new offerings and how to leverage the new technology.

Consumer Marketing

The success of clear aligner companies can be attributed to the effective and disciplined use of consumer advertising campaigns. Direct-to-consumer advertising (DTCA) of healthcare products has been around since the early 1980s; however, it was in 1997, when the Federal Drug Administration relaxed their rules regarding DTCA that pharmaceutical companies began to advertise their products more aggressively directly to consumers, giving rise to the type of DTCA that patients are familiar with today.17 When clear aligners were first introduced to the market, a few clear aligner companies adopted a DTCA model similar to that used by the pharmaceutical industry, disrupting the orthodontic industry18 by creating consumer demand for clear aligners. Like the ride-sharing companies that had disrupted the taxi industry, the clear aligner companies met with industry opposition. However, with time, the dental and orthodontic industries have begun to consider that it may be more advantageous to embrace the disruptive technology and improve the collaboration between provider and consumer.

Hybrid Clear Aligner Model

The dental industry now finds itself in a new consumer-focused movement that is the result of new patient-driven clear aligner entrants. However, unlike traditional aligner models, some companies have introduced a hybrid clear aligner model through partner networks. The hybrid model involves a clear aligner treatment process that leverages teledentistry along with in-person office visits, offering the most convenient way to straighten simple-to-moderate misalignments. The hybrid model also provides consumers with an opportunity to have their teeth straightened at a much more affordable cost than with the traditional clear aligner model. Providers seeking to achieve a balance between the popularity of the clear aligner patient-centric technology and the success of their own practice may consider the potential value of the hybrid model to their patients.

Rather than fearing how patients may be persuaded away from clear aligner case presentations, the author's practice has learned as much as possible about the different options that are presented to patients. Several patients have stated that they prefer the hybrid model to the traditional model offered at the practice. This experience has helped the team understand the limitations of the new technology and identify how to assist patients in making informed decisions about their choice of therapy.

CLEAR ALIGNER BASICS

Clear aligner treatment protocols can vary from one company to another. However, a few basic principles apply across the board. Tooth movement mechanics, for instance, is a basic function that all aligner companies must address. Pressure placed within each aligner is typically preloaded with approximately 0.25 to 0.30 mm of load to interact with bone and the periodontal ligament fibers. Research has shown that the periodontal ligament is approximately 0.25 mm ±50% wide.19This may explain why ideal tooth movement and bone remodeling is achieved at tray pressures of 0.25 mm to tip, rotate, or upright a tooth. Other common protocols include the case design and management software provided by the aligner company. Most aligner workflows allow the provider to upload the patient's arches and design the case to achieve the intended orthodontic corrections.

Case Selection

As with any therapy, selecting the right technology to achieve ideal outcomes is a matter of proper case selection and requires an understanding of the options available to the clinician. Not all cases are candidates for clear aligners. Clear aligner case selection is based on the perceived complexity of the case: simple, moderate, or advanced. However, the complexity category of the case may be difficult to determine because every company defines case complexity differently.

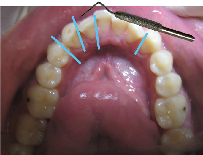
To help practitioners quickly ascertain the case complexity, the "Ataii 2,4,6 rule" may be used, which provides a quick way to select simple cases or identify mild or moderate cases that are ideal for clear aligner therapy.

In orthodontics, bite classification is defined by molar to opposing molar and cuspid to opposing cuspid in the dental arch as class I, class II division I, division II, or class III.20 Lower anterior malocclusion, however, is not as well defined. Therefore, quickly seeing the amount of tooth movements with aligners-and calibrating time, price, and even difficulty of tooth movement into a better position in the dental arch-can be challenging for the clinician. The Ataii 2,4,6 rule (Figure 1), was introduced in early 2007 by Dr. Payam Ataii, which can help the clinician recognize upper or lower anterior overlapping versus posterior arch shape. This system allows the entire clinical team-from doctor, hygienist, to dental assistant-to recognize the malocclusion and be able to start the conversation with patients about their esthetic and functional needs. Lower crowding of less than 4 mm can then be categorized as simple, 4 to 5 mm as moderate, and any anterior malocclusion of 6 mm or more as advanced aligner treatment cases.

COST CONSIDERATIONS

Cases that require less than 4 mm of correction can be addressed with any clear aligner system on the market. However, given the shift in purchasing habits, practitioners must take into consideration the investment of time and cost necessary to properly balance the therapy outcomes with the desires of the consumer.

Patients seeking clear aligner therapy treatments to address minor tooth crowding concerns may not be inclined to pay the prices that simple clear aligner cases typically require. Generally, simple cases that require less than 3 to 4 mm of correction are also not ideally addressed by a general dental practitioner, because treatment may cost thousands of dollars more than the patient anticipated. Considering the cost and time required using the traditional model, the approximate net profit to the practice is typically about $400 (Table 1), particularly after factoring in additional office costs, eg, rent, daily operation costs, and merchant processing.

In a perfect world, the aligner treatment is completed with the exact number of aligners forecasted by the case design and management software, the patient is compliant, and teeth tracking is not compromised. Because this trifecta rarely occurs in the real world, treatment is often extended, posing an additional cost to the practice. Once teeth movement is complete, considerable follow-up for retention, compliance of the patient during the retention phase, administrative work done by staff, and several additional hours spent in the chair are still required.

Cost Benefits of the Hybrid Model

By collaborating with a partner that is addressing the new demands of the consumer, practitioners can offer more competitive options to the patient. In offering a hybrid aligner experience to their existing patients and acquiring new patients who are seeking a convenient, affordable option, the practice could be set up with a variety of treatment plans. The partner aligner company that offers the hybrid model may also send new patients who are in need of basic dental service to the participating practice. This in turn may represent an opportunity for more long-term revenue for the practice while avoiding patient acquisition costs. The net result of the practice leveraging this partnership is a better profit margin than would be experienced if the practitioner instead went toe-to-toe in terms of consumer marketing to acquire these new patients or shouldered the financial loss of offering a traditional aligner model at a lower cost.

The author's practice established a partnership with one of these disruptive clear aligner companies that offer this hybrid approach as a means of attracting consumers who were largely educated about the model and were seeking optimal results. The practice provides the initial case assessment and takes records to help the partner determine if the patient is a candidate for clear aligner treatment (Figure 2 through Figure 4), then it is compensated for these services. From this point on, the hybrid model involves teledentistry backed by state licensed dentists and orthodontists with minimal disruption to the practice. This, in itself, is a revenue builder, as it enables minimum aligner treatment cost to be paid with no additional fees or membership dues.

It should be noted that traditional dental practices are not the only beneficiaries of these partnerships. Dental Service Organizations are also finding these partnerships to be an excellent model for attracting new patients while increasing practice revenue.21

HYBRID CLEAR ALIGNER MODEL

The hybrid clear aligner model is best understood as the bridge between the new technology, consumer expectation, and the dental practice. In this model, participating practices can take advantage of offering clear aligner therapy without the burden of expensive, time-consuming training, upfront laboratory fees, and additional administrative duties placed on their staff. It is important to partner with companies that offer a network of state-licensed treating doctors who provide care via a robust telehealth platform. Additionally, having a detailed oral and medical history intake process, existing success in the market, proven marketing for patient acquisition, and ease of setup are essential features. Every case should be directed and managed by a network of treating doctors, and patients should have 24/7 access to its dental care team. During the in-office consultation, the patient is provided with information about the clear aligner process and, should the patient require more advanced intervention, other treatment options are offered. Sometimes new patients have also been directed to this practice from the company's own consumer pool who would prefer to start aligner therapy via the hybrid approach. These patients likely would not have sought treatment with this office otherwise. At the same time, this office benefits from gaining new patients who may also need dental hygiene services and other dental procedures.

Most patients are focused on cosmetic care and often do not want to start other restorative work unless their cosmetic concerns are also being addressed at an affordable price. Without the hybrid clear aligner model in place, dental practitioners often try to accommodate the patient by greatly reducing the aligner treatment pricing. When practitioners use these tactics, they generally do not take into consideration the negative financial impact from potential merchant or extended service fees, clear aligner laboratory bills, auxiliary expenses, and chair time, etc. (Table 1).

LESSONS LEARNED: A CASE STUDY

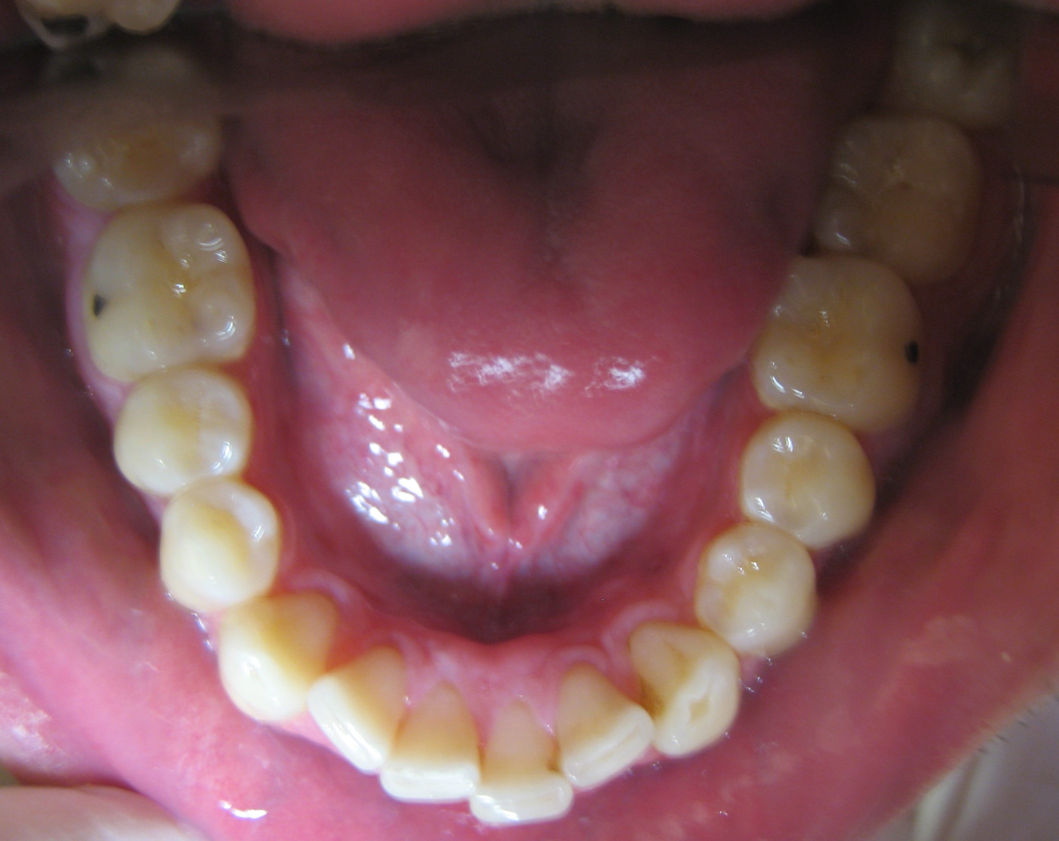
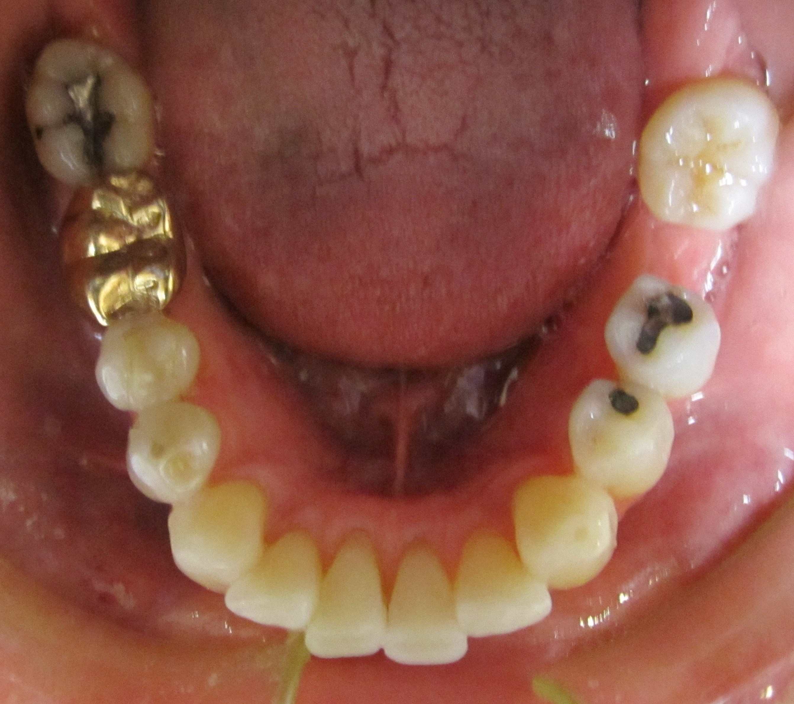
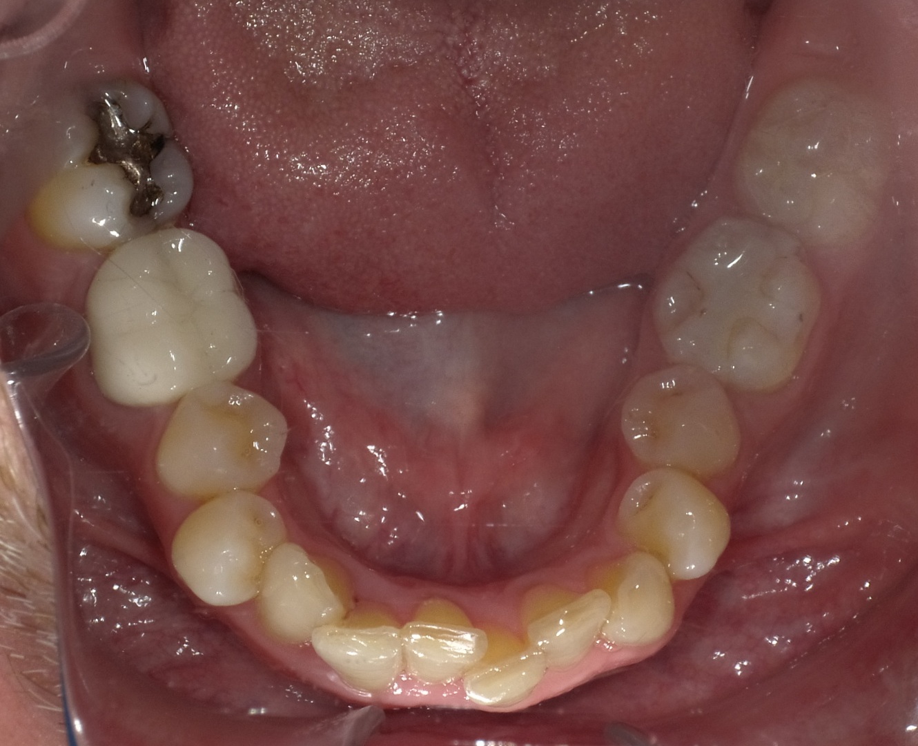
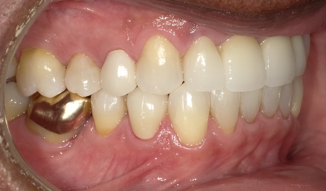
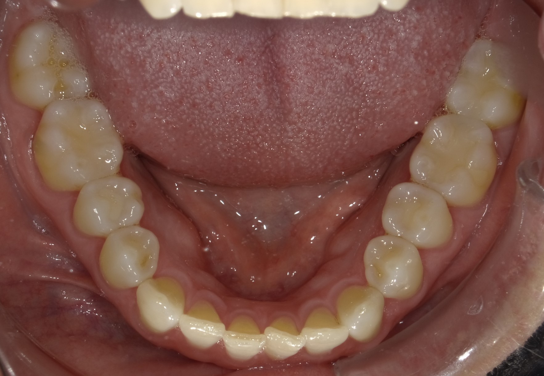
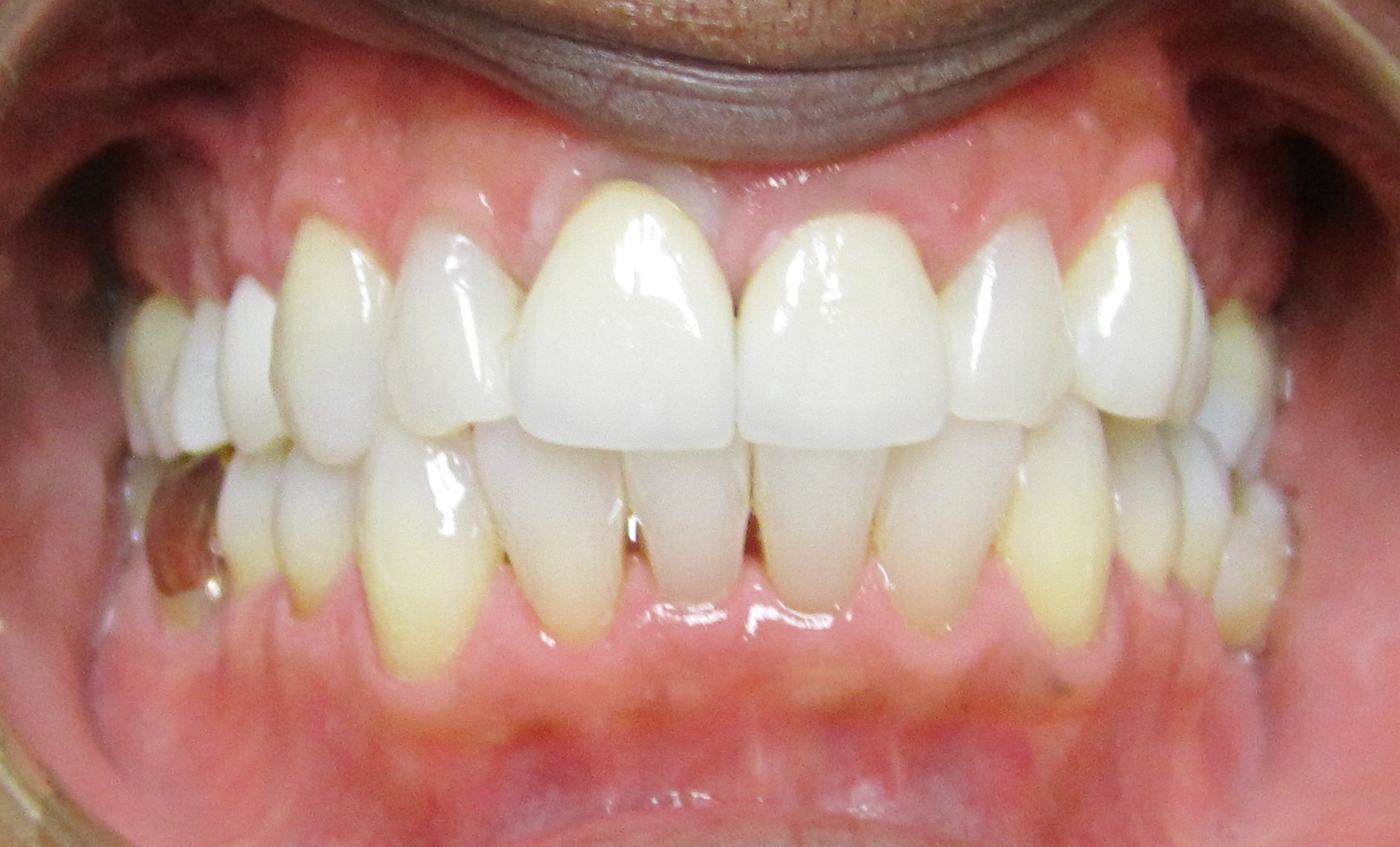
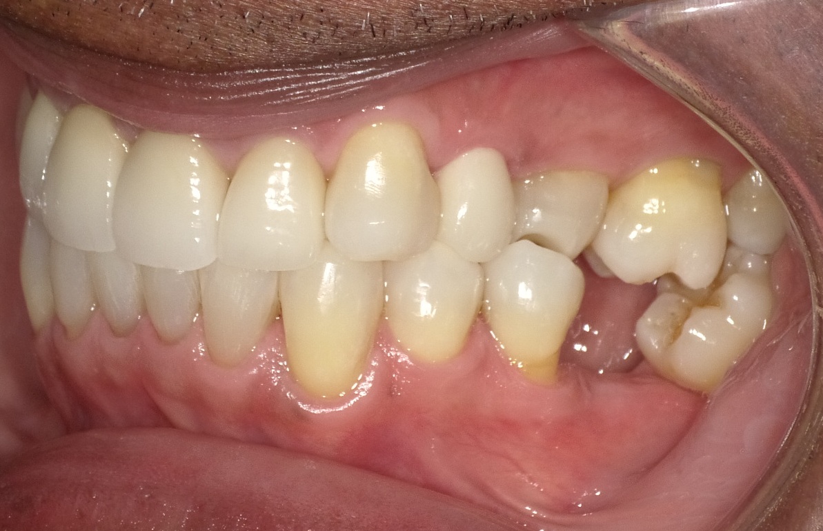
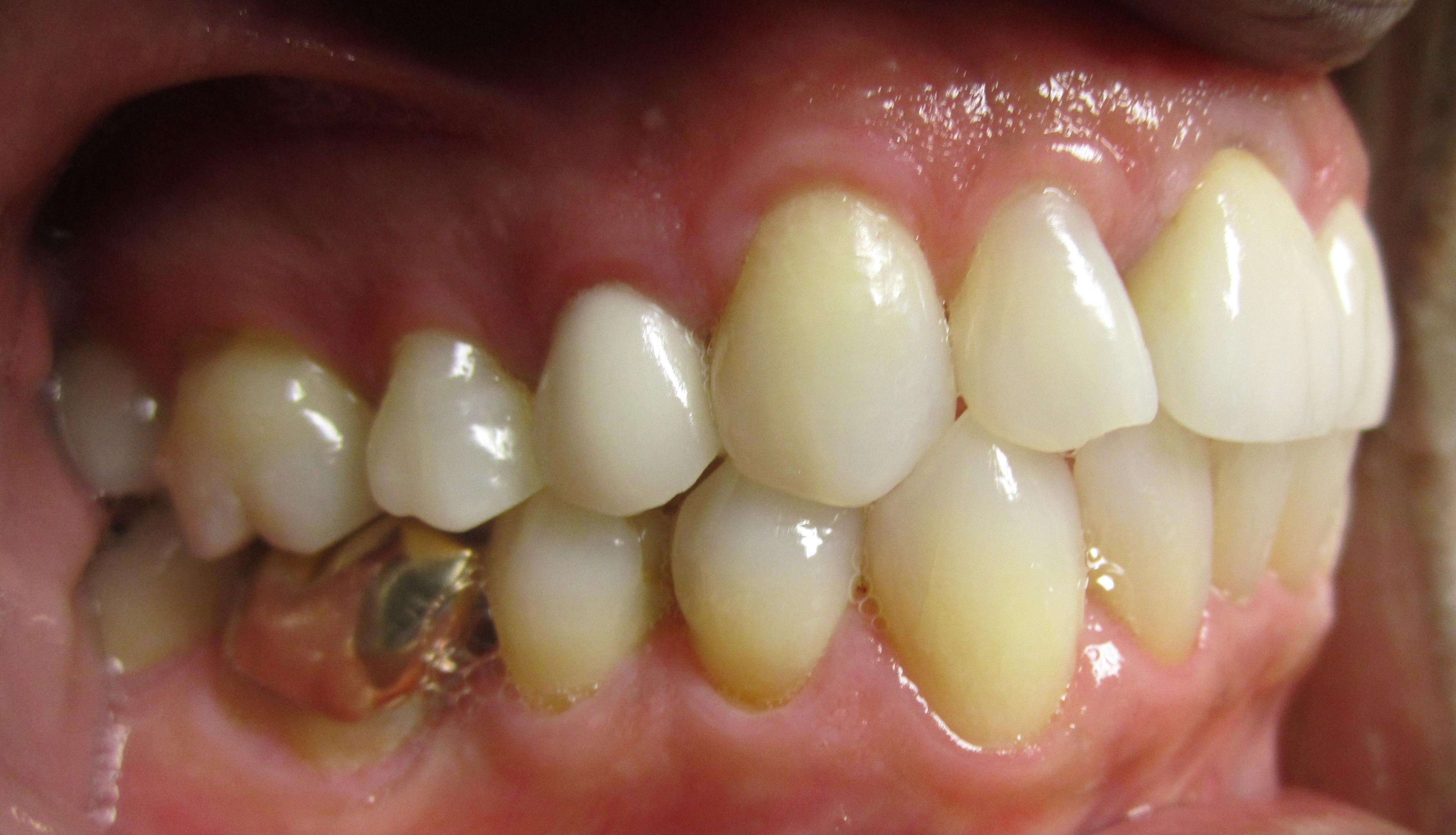
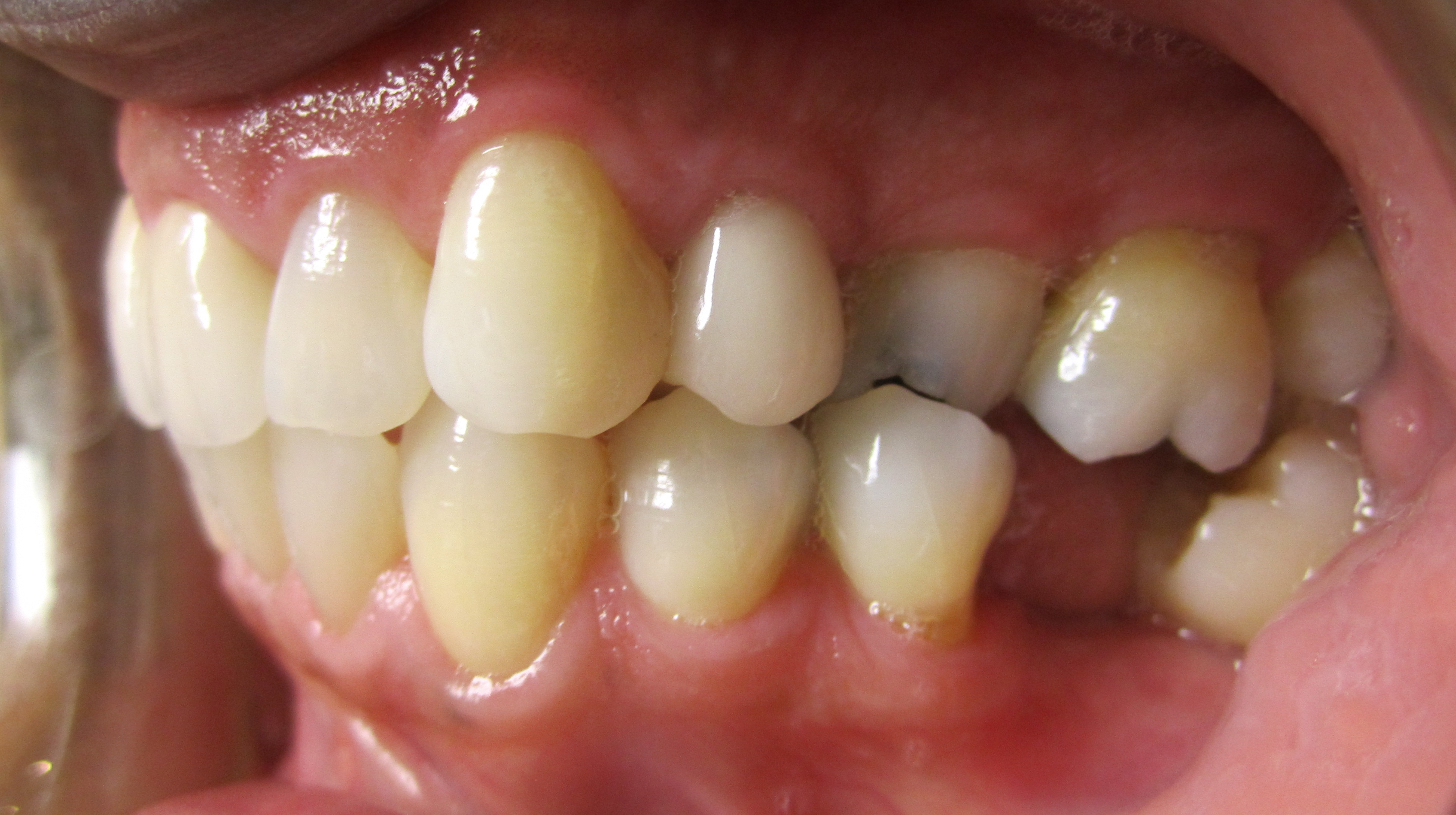
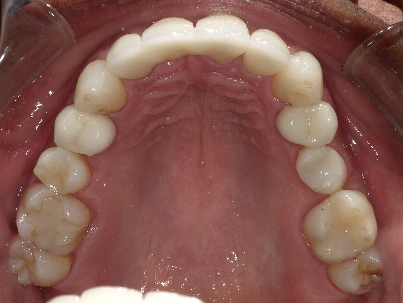
During a dental hygiene examination, aligner treatment was suggested to a patient, a 49-year-old man who presented with mild to moderate lower arch malocclusion with anterior crowding. At the time, concerns of a missing lower molar, combined with posterior and anterior malocclusion, were raised to the patient (Figure 5 through Figure 12). The patient's options included a restorative treatment with a lower missing molar, and replacement of the upper anterior arch crown restorations along with clear aligners. The patient did not wish to spend $4,000 to $5,000 on full orthodontics at that time. Once the need to remove the heavy anterior occlusion to gain better overjet for the longevity of the periodontal and restorative prognosis was explained, the patient decided to move forward with the clear aligners, limiting aligner treatment primarily on the anterior arch as an esthetic approach. To avoid losing the patient, this office decided to provide limited aligner treatment for less than $2,000 to address the anterior esthetics. Aligner treatment took longer than expected, requiring more aligners at an additional cost that was not charged to the patient. The delay in finally gaining lower cuspid rotations, along with resolving the lower anterior crowding to gain better esthetics before the delivery of the upper restorations, required over 20 aligners and took more than 15 months to complete. Patient motivation and compliance were also an issue, because the patient was required to report for numerous follow-up visits regarding aligner wear. Extended treatment meant that frequent office visits were necessary, adding additional chair time that had not been anticipated. After initial consultation, completion of the initial treatment plan (improved anterior esthetics with the replacement of upper restorations) took almost 2.5 years (Figure 13 through Figure 20).

In hindsight, the practice perhaps should have taken a different approach, given today's hybrid option, which helps better ensure that the patient remains motivated to continue with clear aligner treatment and tracking. Had the hybrid approach been applied in this patient, the practice would still have benefitted financially, as it would have been compensated for services, with chair time reserved for other restorative work, while gaining a new patient.

CONCLUSION

Remaining competitive requires that practitioners take the pulse of the current marketplace and stay aware of the various factors that may impact their practice, from new disruptive technology considerations to the purchasing habits of their patients. In the clear aligner market, multiple new entrants are offering alternative aligner treatment options that are in line with current customer demands and expectations. In similar industry disruptions, the typical initial reaction to the new technology is a defensive stance. Ultimately, however, a balance can be reached between the demands of the consumer, the new technology, and the traditional industry. In the case of clear aligners, partnering with a clear aligner company that offers the hybrid model, rather than seeing them as the enemy, may be a means to simultaneously address consumer demand, practice growth, and treatment outcomes.

References

1. Greenemeier L. Remembering the day the World Wide Web was born. Scientific American. https://www.scientificamerican.com/article/day-the-web-was-born/. Published March 12, 2009. Accessed May 2, 2021.

2. Shim S, Drake MF. Consumer intention to utilize electronic shopping. The Fishbein Behavioral Intention Model. Journal of Direct Marketing. 1990;4(3):22-33.

3. Gull M, Pervaiz A. Customer behavior analysis towards online shopping using data mining. Presented at: 2018 Fifth International Multi-Topic ICT Conference (IMTIC); April 25-27, 2018; Jamshoro, Pakistan.

4. Aleshnikova V, Beregovskaya T, van der Voort E. A smart consumer is a challenge for business. In: Popkova EG, Sergi BS, eds. "Smart Technologies" for Society, State and Economy. ISC 2020. Lecture Notes in Networks and Systems, vol 155. New York, NY: Springer; 2021:1746-1754.

5. Sorokova T, Petrikova D. The shared economy in the current market. SHS Web Conf. 2020;74:03012.

6. Schwamm LH. Telehealth: seven strategies to successfully implement disruptive technology and transform health care. Health Aff. 2014;33(2):200-206.

7. Powell JA, Darvell M, Gray JAM. The doctor, the patient and the World-Wide Web: how the internet is changing healthcare. J R Soc Med. 2003;96(2):74-76.

8. Kaufman, Kenneth. Faster, bigger, and broader: healthcare disruption in 2018. HFM Healthcare Financial Management. https://www.hfma.org/topics/hfm/2018/january/57409.html. Published January 1, 2018. Accessed May 3, 2021.

9. Huang J. Tele-orthodontics and the future of dental digitalization. DentistryIQ Web site. www.dentistryiq.com/practice-management/practice-management-software/article/14035741/teleorthodontics-and-the-future-of-dental-digitalization. Published July 2, 2019. Accessed May 6, 2021.

10. Glassman P. Disruptive innovation and the oral health system. J Am Coll Dent. 2016; 83(2):4-13.

11. Okuda BC, Tabbaa S, Edmonds M, Toubouti Y, Saltaji H. Direct to consumer orthodontics: exploring patient demographic trends and preferences. Am J Orthod Dentofacial Orthoped. 2021;159(2):210-216.

12. Pillay R. Healthcare 3.0: How Technology Is Driving the Transition to Prosumers, Platforms and Outsurance. United States: Xlibris US; 2018.

13. Cramer J, Krueger AB. Disruptive change in the taxi business: the case of Uber. American Economic Review. 2016;106(5):177-182.

14. Solana K. Association files complaint with FTC, FDA against SmileDirect Club. www.ada.org/en/publications/ada-news/2019-archive/july/association-files-complaint-with-ftc-fda-against-smiledirect-club. Published July 12, 2019. Accessed May 11, 2021.

15. Behrents RG. Do-it-yourself impressions and clear retainers: a fairy tale. Am J Orthod Dentofacial Orthop. 2016;150(2):205-207.

16. Werner A. AAO Disputes SmileDirectClub Interpretation of New California teledentistry law's impact. Orthodontic Products Web site. www.orthodonticproductsonline.com/industry-news/association-news/aao-disputes-smiledirectclub-interpretation-new-california-teledentistry-law-impact/. Published October 18, 2019. Accessed May 11, 2021.

17. Ventola CL. Direct-to-consumer pharmaceutical advertising: therapeutic or toxic? P T. 2011;36(10):669-674.

18. Kravitz ND, Bowman SJ. A paradigm shift in orthodontic marketing. Semin Orthod. 2016;22(4):297-300.

19. McCormack SW, Witzel U, Watson PJ, Fagan MJ, Gröning F. The biomechanical function of periodontal ligament fibres in orthodontic tooth movement. PLoS One. 2014;9(7):e102387.

20. Summers CJ. The occlusal index: a system for identifying and scoring occlusal disorders. Am J Orthod. 1971;59(6):552-567.

21. Masson G. Why Platinum Dental Services partnered with SmileDirectClub: Vince Dilley, founder & CEO. Becker's Dental Review Web site. www.beckersdental.com/featured-perspectives/36606-why-platinum-dental-services-partnered-with-smiledirectclub-vince-dilley-founder-ceo.html. Updated April 23, 2021. Accessed May 11, 2021.

Fig 1. The Ataii 2,4,6 rule is used for quick chairside evaluation
of case complexity. A periodontal probe is used to measure the
crowding, spacing, and overlapping. A simple malocclusion is
defined as: 2 mm or less of correction needed for the midline,
intrusion vs extrusion, and crossbite; 4 mm or less of correction
needed for the open bite and overjet; and 6 mm or less of crowding
or spacing.

Figure 1

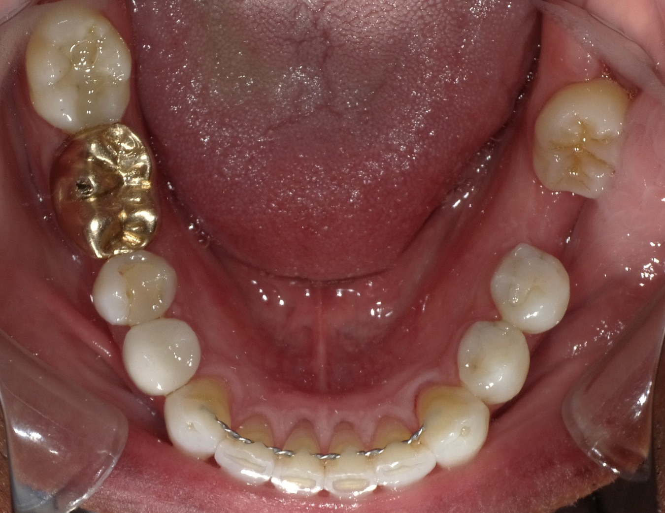
Fig 2. Candidates for hybrid teledentistry include patients with minor (Fig 2), moderate (Fig 3), and advanced crowding (Fig 4).

FIgure 2

Fig 3. Candidates for hybrid teledentistry include patients with minor (Fig 2), moderate (Fig 3), and advanced crowding (Fig 4).

Figure 3

Fig 4. Candidates for hybrid teledentistry include patients with minor (Fig 2), moderate (Fig 3), and advanced crowding (Fig 4).

Figure 4

Table 1. Aligner Profit Analysis by Case Complexity

Table 1

Fig 5. Clear aligner treatment was recommended to this patient, who presented with a missing lower molar combined with
posterior and anterior malocclusion.

Figure 5

Fig 6. Clear aligner treatment was recommended to this patient, who presented with a missing lower molar combined with
posterior and anterior malocclusion.

Figure 6

Fig 7. Clear aligner treatment was recommended to this patient, who presented with a missing lower molar combined with
posterior and anterior malocclusion.

Figure 7

Fig 8. Clear aligner treatment was recommended to this patient, who presented with a missing lower molar combined with
posterior and anterior malocclusion.

Figure 8

Fig 9. Clear aligner treatment was recommended to this patient, who presented with a missing lower molar combined with
posterior and anterior malocclusion.

Figure 9

Fig 10. Clear aligner treatment was recommended to this patient, who presented with a missing lower molar combined with
posterior and anterior malocclusion.

Figure 10

Fig 11. Clear aligner treatment was recommended to this patient, who presented with a missing lower molar combined with
posterior and anterior malocclusion.

Figure 11

Fig 12. Clear aligner treatment was recommended to this patient, who presented with a missing lower molar combined with
posterior and anterior malocclusion.

Figure 12

Fig 13. After completion of treatment, improved anterior esthetics and replacement of upper restorations were achieved.

Figure 13

Fig 14. After completion of treatment, improved anterior esthetics and replacement of upper restorations were achieved.

Figure 14

Fig 15. After completion of treatment, improved anterior esthetics and replacement of upper restorations were achieved.

Figure 15

Fig 16. After completion of treatment, improved anterior esthetics and replacement of upper restorations were achieved.

Figure 16

Fig 137. After completion of treatment, improved anterior esthetics and replacement of upper restorations were achieved.

Figure 17

Fig 18. After completion of treatment, improved anterior esthetics and replacement of upper restorations were achieved.

Figure 18

Fig 19. After completion of treatment, improved anterior esthetics and replacement of upper restorations were achieved.

Figure 19

Fig 20. After completion of treatment, improved anterior esthetics and replacement of upper restorations were achieved.

Figure 20

CREDITS: 0
AGD CODE: 370 - Emerging therapies
COST: $0
PROVIDER: Conexiant Education
SOURCE: Inside Dentistry | July 2021
COMMERCIAL SUPPORTER: SmileDirectClub

Learning Objectives:

  • Describe the changing clear aligner market
  • Accurately identify patients who may benefit from aligner therapy
  • Determine how the hybrid clear aligner model is advantageous for traditional dental practices ​

Disclosures:

The author reports no conflicts of interest associated with this work.

Queries for the author may be directed to justin.romano@broadcastmed.com.