Making Implants Part of Your Everyday Practice

Robert F. Faulkner, DDS

July/August 2011 Issue - Expires Sunday, August 31st, 2014

Inside Dentistry

Abstract

Treatment with dental implants has become a popular treatment option for many dentists and their patients. Unfortunately, not all treatment outcomes prove to be successful or always meet the patient’s expectations. Failure of this treatment modality often leads to lost income, unproductive chairtime, and, most importantly, the patient questioning the treating dentist’s competency. If practitioners are to be successful with this type of treatment, they must master the fundamentals of successful diagnosis and treatment planning and be fully informed of the many facets of this particular treatment alternative. This article will review the overall principles and necessary information for considering dental implants as a treatment option for patients.

You must be signed in to read the rest of this article.

Login Sign Up

Registration on CDEWorld is free. You may also login to CDEWorld with your DentalAegis.com account.

Tooth replacement has long been an established treatment objective to provide proper function and oral health. This is evident in the educational process that dental students receive early in their predoctoral training1-5 (Table 1). However, much debate remains as to the best treatment alternative. Most dentists have been taught that a fixed prosthodontic option is the first choice and is preferable to a removable partial denture (RPD). This viewpoint can be readily observed from the disproportionate number of fixed prosthodontic restorations, compared with RPDs, being fabricated by the dental laboratory technicians. Yet the long-term prognosis for these treatment modalities should be questioned, especially because both types are dependent on abutment teeth for retention and support of the prostheses.2,4 Recurrent decay remains the primary cause of failure for both fixed and removable prostheses, followed by loss of one or more abutment teeth. This may make future restorations using the same type of prostheses difficult, if not impossible. Today, dental implants provide dentists with an alternative for tooth replacement.

Dental implants were introduced into ancient civilizations with the Mayan Indians in approximately 600 A.D. Modern society saw the advent of dental implants in 1905 by Scholl.6 In the next several decades, many implant designs, materials, and theories were introduced. Then in 1969, Brånemark et al7 published their research describing the process of dental implant integration with bone. Brånemark is credited with the concept of osseointegration, and this discovery has significantly impacted how modern dentists consider tooth replacement. This article reviews many of the necessary parameters for determining the viability of using dental implants for replacing missing teeth.

Diagnosis and Treatment Planning: the Basis for Success

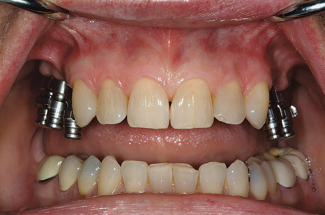
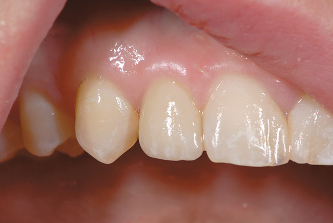
Many factors must be considered for dental implants;8 however, one of the most crucial is an accurate diagnosis. There may be several treatment options for partially or completely edentulous cases, but for each patient there is only one diagnosis. Care should be taken to adequately evaluate the patient before weighing treatment options (Figure 1). Several important considerations are the completion of growth in a young patient,9 health status in a more mature patient,10 the patient's financial concerns, and time constraints in completing the proposed treatment. In addition, patient expectations should be fully reviewed prior to initiating treatment: patients must have realistic expectations and understand the type of prostheses that can be fabricated for their particular treatment needs (Figure 2 and Figure 3). When the evaluation is complete, multidisciplinary treatment planning that includes the laboratory technician, implant surgeon, orthodontist, and the restorative dentist should be considered. A comprehensive case presentation should then be completed with the patient to discuss all options, including no treatment. A written summation of the treatment plan11 and informed consent are then provided to the patient to review and accept before treatment commences. The restorative dentist must initiate the process in determining the prosthesis design and coordinate the treatment sequence with the other dental professionals. While traditional treatment planning has been the standard, the advent of cone beam computed tomography (CBCT) has allowed 3-dimensional planning, which offers more comprehensive information to be supplied to the patient prior to any surgical procedure and which can greatly enhance the outcome.

Types of Implant Prostheses

When dental implants were introduced by Brånemark, they were intended primarily for the completely edentulous patient, specifically the edentulous mandible. The initial prosthesis was a fixed restoration commonly referred to as a fixed bone anchored bridge. That particular prosthetic design is now the fixed-detachable hybrid prosthesis and has been highly successful for both the implants and prostheses.12,13 Implants have also been used for overdenture restorations14 and can be implant-assisted or implant-supported. With implant-assisted prostheses, the implants and mucoperiosteum share the forces of occlusion. A simple two-implant overdenture, either a Hader Bar® (Sterngold™, www.sterngold.com) or Locator® abutment (Zest Anchors, www.zestanchors.com), are examples of implant-assisted overlay prostheses and are always a removable restoration (Figure 4 and Figure 5). With implant-supported prostheses, the forces of occlusion are borne solely by the implants. This prosthesis can be an overlay prosthesis or a fixed restoration. Milled bar restorations, overdentures with bar substructures, and metal–ceramic restorations attached to implant abutments by either screws or cement are examples of implant-supported restorations. One of the primary benefits of using dental implants in edentulous patients is the preservation of the residual bone, which will provide a better opportunity for future successful prosthetic restorations.

Restoration of partially edentulous patients with dental implants has not only added a new opportunity for replacement of missing teeth but also presented a different set of challenges for providing successful, long-term dental prostheses. Initially, many treatment protocols that were followed for the completely edentulous patient proved to be less than ideal for the partially edentulous patient.15 Combining natural teeth and dental implants in the same arch, sometimes in the same quadrant, creates a biomechanical difference between teeth and implant(s) during function. Traditional three-unit fixed partial dentures (FPDs) placed on two dental implants can be successful. Yet when forces of occlusion are high, the need to place one implant per tooth or three implants to support four units in the posterior quadrants is often recommended.8,15 Moreover, blending natural teeth and bony/gingival contours with the edentulous spaces being restored with implants can be difficult in meeting the patient's expectations and can potentially create difficulty with oral hygiene access.

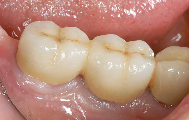
Single-tooth replacement with dental implants has proven to be very beneficial yet challenging for both the patient and treating dentist. Long-term success has now been achieved in the anterior and posterior areas,16 although specific characteristics can affect the prognosis, such as the quality and quantity of bone, occlusal loads, and parafunctional habits. While these restorations have been shown to be highly successful, there remains the critical challenge of completely restoring the esthetic and functional needs for the patient and making these restorations undetectable from the other natural teeth. A complete understanding of the edentulous space is necessary for an accurate diagnosis, which then allows for the development of a treatment sequence for the best possible outcome. Frequently, preprosthetic procedures are required prior to implant placement if a compromise is to be avoided. Consideration should be given not only to the esthetic value of the single-implant tooth replacement but also should account for the patient's oral hygiene needs.

Implant Selection: How Important is it?

Endosseous root form dental implants have undergone numerous changes since they were introduced by Brånemark. Early implants were of relatively narrow diameter (3.5 mm) and externally hexagonal. These implants were turned during the fabrication process, leaving a somewhat smooth, machined surface to the body of the implant. Eventually, implants were increased to a 3.75-mm diameter. This was the standard for several years, although these implants were used primarily for edentulous patients and were commonly splinted together. Subsequent research revealed that implant-to-bone contact was important in the long-term function of the implant.17 The implant-to-bone contact in the initial machined-surface implants was between 30% and 40% and provided acceptable stability in most edentulous patients.18 When implants became more popular, especially in partially edentulous situations, it became apparent that other factors were necessary for long-term functional and esthetic needs. By roughening the surface of the implant, bone apposition to the implant can now reach 70% to 80% or higher and provide better support for the function of the prostheses.19 Other design changes have significantly improved the long-term prognosis of the implant: increasing the diameter of the implant body, changing the thread pitch of the implant, providing microthreads in the coronal portion of the implant, and changing the implant/abutment connection from an external flat-top clearance-fit connection to a conical connection. These improvements not only improved functionality of the implant but also significantly advanced the esthetic possibilities for long-term success of the restorations.20

Implant size should be considered based on the tooth to be replaced. In the edentulous patient, when an overlay or hybrid prosthesis is being planned, a 4-mm diameter implant body size is recommended for all of the implants used in the prosthesis.15 When placing implants in partially edentulous patients, size selection can be as small as 3 mm for the mandibular central and lateral incisors and small maxillary lateral incisors. However, implant size should match tooth dimensions. In the posterior regions of the maxilla and mandible, implant recommendations range from 4-mm diameter in the premolar regions to 6-mm diameter in the molar areas.21,22 Increasing the implant diameter can provide acceptable support for both the patient's functional and esthetic needs. In the maxillary anterior area, the diameter of the implant must be carefully considered, especially if the patient has a thin, scalloped periodontal biotype. Implants should have 1.5 mm of bone surrounding the implant, especially on the facial surface of the implant, for long-term maintenance of the bone. If an implant diameter is too wide, bone remodeling can occur, followed by gingival recession, possibly resulting in a less-than-acceptable esthetic result. Without preprosthetic augmentation (soft- or hard-tissue grafts), the clinician should proceed with a slightly smaller-diameter implant in the anterior area if there is a concern that bone maintenance could be an issue. Careful assessment of the tooth or teeth diagnostically waxed to full contour will provide guidance in determining implant diameter.

Most implants used today are screw-shaped designs as opposed to cylinder press-fits. As such, many designs have emerged in respect to the threads of the implant and their role in the initial stability of the implant and to the long-term maintenance of the bone surrounding the implant.23 Thread designs increase the surface area of the implant body, thereby allowing a greater potential for increasing the quantity of bone attached to the implant. This also helps with the initial stability of the implant at the time of placement. In addition, some implants have smaller microthreads at the coronal portion of the implant to help divert the stresses from the top of the implant where the critical area of crestal bone needs to be maintained. If crestal bone is preserved, the potential increases for providing patients with more predictable esthetic results and improved hygiene access to the implant restoration.

Finally, the implant–abutment connection is important not only in the stability of the prosthesis but also in the periodontal health of the implant–restoration complex. Conical connections have been shown to provide a bacterial seal far superior than the original flat-top implant–abutment connections do.20 By eliminating the bacterial contamination of the internal portion of the implant, the crestal bone is not subjected to the same inflammatory processes, which may promote crestal bone maintenance and reduce the possibility of peri-implantitis.

Biomechanics and Dental Implants—The Occlusal Factor

When implants were introduced for tooth replacement, little consideration was given to occlusal loads placed on implants. Most implant prostheses were placed in the mandibular arch and were opposed by a complete denture in an edentulous maxilla, hence few effects were experienced with occlusal forces on the dental implants. As the restoration of the partially edentulous case evolved, additional significant problems arose concerning occlusal loads and overloads of dental implants. Screw loosening, screw fractures, abutment fractures, fracture of porcelain, bone loss at the coronal aspect of the implant, and even implant fractures have been associated with occlusal loads placed on implants.24 Awareness of these problems has resulted in modifications to the occlusion of the implant restoration. The types used for dental implants today are bilateral-balanced, group-function, and anterior-guided occlusions. While more meticulous attention has been given to the occlusion with implant restorations, there has been little discussion about the functional loading of dental implants.15 When occlusion is adjusted on teeth and implants, adjustments are made to the contacts on the tooth surfaces, even though teeth are in actual contact only a few minutes a day during the conscious hours. These contacts can provide optimal loads in a tooth-to-tooth contact but do not adequately address functional loads on dental implants. The periodontal ligament provides tremendous mechano-reception for occlusal contacts,25 but a dental implant lacks the same receptor capabilities, thus its ability to absorb load differs from that of a natural tooth. Additionally, occlusion should be adjusted to a light occlusion on the dental implant restoration whereby the actual contact with the implant restoration is not encountered until the patient activates the periodontal ligament by squeezing or clenching teeth. If the occlusion is adjusted to a light occlusion, then primary loading of dental implants stems from mastication and the forces generated by the masticatory cycle. Because of the dynamic nature of the masticatory cycle, these forces are rarely directed along the long axis of the implant. Therefore, the dental implant may be subjected to extreme loading or overload. When treating the partially edentulous patient, careful consideration should be given to the occlusal forces, number of implants, size of the implants, length of the implants, and whether the implants should be splinted together. All of these factors play a critical role in the long-term prognosis and survivability of both the dental implant and prosthesis.

Another concern for loading of dental implants is implant alignment. When placing implants for the edentulous patient and an overlay or hybrid restoration is planned, the implants should then be placed as parallel as possible and slightly lingual to the actual tooth position. This allows establishment of normal contours of the prostheses and space for placement of the prosthetic teeth. Implants should not be placed in the central incisor region for a maxillary overlay prosthesis because this will compromise palatal contours, thereby affecting speech and tongue function. If, however, implants are planned for the partially edentulous patient and the replacement is for a natural tooth or teeth, then implants should be placed more in line with the long axis of the natural root. Teeth are designed to better handle the multitude of directional loads encountered during mastication when properly aligned on their bony base. Implants placed more in line with natural tooth roots that are properly positioned on their bony base may allow implants to better endure the various functional loads while promoting the continual physiologic bone remodeling necessary for long-term implant survival (Figure 6 and Figure 7 ). Depending on the type of anticipated function and the presence or signs of parafunctional habits, use of a maxillary biteplane/nightguard may be indicated (Figure 8). This can reduce the possibility of lateral loads, which have a detrimental effect on the dental implant(s). The biteplane is adjusted in centric relation with simultaneous occlusal contacts and shallow anterior guidance.

Esthetics and Dental Implants—One of the Final Challenges

When dental implants became a predictable solution for tooth replacement, the focus became making implants appear more like natural teeth and undetectable from the surrounding dentition. Greater emphasis on diagnosing and classifying the edentulous area(s) has become necessary to properly plan the treatment with dental implants. When tooth loss occurs, there is also a corresponding loss of bone and soft tissue. The extent of the defect depends on the cause of tooth loss, the method used for tooth removal, and the length of time that the tooth has been missing. If the tooth loss was from periodontal disease and bone loss has occurred subsequently, then replacement with a dental implant and achievement of an esthetic result may be extremely challenging. Teeth that have been treated endodontically and developed vertical root fractures necessitating removal may have significant loss of bone associated with the site. Tooth extraction itself may also compromise the surrounding bone, especially the facial plate of bone, and a horizontal defect may occur. Determining the type of defect is important in the diagnosis and treatment planning stage to facilitate the outcome for the patient.21

Patient expectations remain extremely critical. The treatment options must be able to meet these expectations, otherwise tooth replacement of the edentulous area with dental implants should not be attempted.

A set of mounted casts in centric relation with a full-contour diagnostic wax-up, including the hard- and soft-tissue deficits, is mandatory prior to initiating treatment. This is beneficial in accessing the edentulous space and communicating the information concerning the edentulous defect with the laboratory technician, the implant surgeon, and most importantly, the patient. In addition, CBCT can also be extremely helpful in diagnosing the edentulous site 3-dimensionally and providing vital information to the surgeon prior to implant placement (Figure 9). Only after the diagnosis and treatment plan is fully understood by all parties should the treatment be initiated. In many situations, hard- and soft-tissue grafts are necessary in order to reconstruct the edentulous site as near to its original contours as possible (Figure 10, Figure 11 and Figure 12). This will significantly enhance proper positioning of the implant for prosthetic needs and help to increase the prognosis for an esthetic result.27 At the time of implant placement, a surgical template should be used to help ensure that the implant is placed in the proper position. The surgical template can be fabricated from the diagnostic wax-up or generated from planning software using the Digital Imaging and Communications in Medicine (DICOM) data obtained from the CBCT. The esthetic result is generally dictated at the time the implant is placed, hence the need for such a detailed assessment (Figure 13, Figure 14, Figure 15 and Figure 16).

Other factors may play a role in the final esthetic outcome. Indexing the position of the implant at the time of placement, use of provisional restorations, and customized impression copings to record gingival contours for laboratory fabrication of the abutment and crown are examples of techniques to enhance the overall esthetic result. In addition, newer materials have been introduced to aid the fabrication of esthetic abutments and restorations placed on dental implants. Zirconium, both as an abutment and restoration, has been shown to have a beneficial esthetic effect and is well tolerated by the surrounding tissue.28 Caution, though, must be emphasized in the use of this material because it is not fully known how it will withstand functional loads long term, especially in the posterior areas. Titanium abutments remain the material of choice in the posterior areas.29 Waxing and casting of pre-machined UCLA-type abutments also offers an option for abutment design, enabling precise angle corrections when necessary, although the rise in the cost of precious metals may limit the use of this material in the future. The significant improvement of abutments generated with computer-aided design and computer-aided manufacturing (CAD/CAM) has greatly enhanced the abutment design and fabrication. Metal ceramic restorations provide suitable restorations in the posterior region and are used because of their proven long-term success,1-3 although proper metal coping design is necessary for strength of the veneered porcelain. Gold occlusal surfaces, especially in the molar region, may be the best choice if the patient has high occlusal forces or parafunctional habits that may make material fracture a concern.

Conclusion

Many factors play a role in the treatment outcome when using dental implants. Care must be taken to properly assess and select the patient for this type of treatment and to ensure not only that the treatment will be successful but that the patient's expectations are met as well. Diagnosis and treatment planning are key elements for positive outcomes, yet other variables—such as the biology of implant selection, biomechanics and functional loading of dental implants, and esthetic parameters—are all necessary for successful results. In addition, the treatment should provide for re-treatment in the future, as the patient will likely outlive the restorations placed on the dental implants. Failure to adhere to the basic principles of diagnosis and treatment planning may lead to complications that might otherwise be avoided, as well as unnecessary treatment in the future. Finally, dentists are afforded an opportunity for a treatment alternative that will not only replace missing teeth but, in turn, preserve remaining structures vital to the health, form, and function of patients.

Acknowledgments

The author wishes to express his sincere appreciation to Wayne H. Gordner, DMD, MS, FACP; Larry J. Brandau, DDS; and Erin Shearer for their assistance in compiling this article.

References

1. Johnston JF, Phillips RW, Dykema RW. Modern Practice in Crown and Bridge Prosthodontics. 3rd ed. Philadelphia, PA: W.B. Saunders Company; 1971.

2. Shillingburg HT, Hobo S, Whitsett LD, et al. Fundamentals of Fixed Prosthodontics. 3rd ed. Chicago, IL: Quintessence Publishing Co; 1997.

3. Rosenteil SF, Land MF, Fujimoto J. Contemporary Fixed Prosthodontics. 2nd ed. St. Louis, MS: Mosby Year Book, Inc.; 1995.

4. McGivney GP, Castleberry DJ. Removable Partial Prosthodontics. 9th ed. St. Louis, MS: Mosby-Year Book, Inc.; 1995.

5. Boucher CO, Hickey JC, Zarb GA. Prosthodontic Treatment for Edentulous Patients. 7th ed. St. Louis, MS: C.V. Mosby Company; 1975.

6. Scholl CR. Implantation of a porcelain tooth. Dental Cosmos. 1905;47(1):157-158.

7. Brånemark PI, Adell R, Breine U, et al. Intra-osseous anchorage of dental prostheses. I. Experimental studies. Scand J Plast Reconstr Surg. 1969;3(2):81-100.

8. Wood MR, Vermilyea SG; Committee on Research in Fixed Prosthodontics of the Academy of Fixed Prosthodontics. A review of selected dental literature on evidence-based treatment planning for dental implants: report of the Committee on Research in Fixed Prosthodontics of the Academy of Fixed Prosthodontics. J Prosthet Dent. 2004;92(5):447-462.

9. Westwood RM, Duncan JM. Implants in adolescents: a literature review and case reports. Int J Oral Maxillofac Implants. 1996;11(6):750-755.

10. Bryant SR, Zarb GA. Osseointegration of oral implants in older and younger adults. Int J Oral Maxillofac Implants. 1998;13(4):492-499.

11. Preston JD, Sheppard GA. The confirmation letter: information and protection. Int J Prosthodont. 1988;1(2):143-148.

12. Zarb GA, Schmitt A. The edentulous predicament. I: a prospective study of the effectiveness of implant-supported fixed prostheses. J Am Dent Assoc. 1996;127(1):59-65.

13. Mericske-Stern RD, Taylor TD, Belser U. Management of the edentulous patient. Clin Oral Implants Res. 2000;11(suppl 1):108-125.

14. Mericske-Stern R. Overdentures with roots or implants for elderly patients: a comparison. J Prosthet Dent. 1994;72(5):543-550.

15. Rangert BR, Sullivan RM, Jemt TM. Load factor control for implants in the posterior partially edentulous segment. Int J Oral Maxillofac Implants. 1997;12(3):360-370.

16. Priest G. Single-tooth implants and their role in preserving remaining teeth: a 10-year survival study. Int J Oral Maxillofac Implants. 1999;14(2):181-188.

17. Ericsson I, Johansson CB, Bystedt H, et al. A histomorphometric evaluation of bone-to-implant contact on machine-prepared and roughened titanium dental implants: a pilot study in the dog. Clin Oral Implants Res. 1994;5(4):202-206.

18. Trisi P, Lazzara R, Rao W, et al. Bone-implant contact and bone quality: evaluation of expected and actual bone contact on machined and osseotite implant surfaces. Int J Periodontics Restorative Dent. 2002;22(6):535-545.

19. Ellingsen JE, Johansson CB, Wennerberg A, et al. Improved retention and bone-to-implant contact with fluoride-modified titanium implants. Int J Oral Maxillofac Implants. 2004;19(5):659-666.

20. Zipprich H, Weigl P, Lange B, et al. Micromovements at the implant-abutment interface: measurement, causes, and consequences. Implantologie. 2007;15(1):31-46.

21. Davarpanah M, Martinez H, Kebir M, et al. Wide-diameter implants: new concepts. Int J Periodontics Restorative Dent. 2001; 21(2):1
49-159.

22. Langer B, Langer L, Herrmann I, et al. The wide fixture: a solution for special bone situations and a rescue for the compromised implant. Part 1. Int J Oral Maxillofac Implants. 1993;8(4):400-408.

23. Hansson S. The dental implant meets bone—a clash of two paradigms. App Osseointegration Res. 2006;5:5-17.

24. Goodacre CJ, Bernal G, Rungcharassaeng K, et al. Clinical complications with implants and implant prostheses. J Prosthet Dent. 2003;
90(2):121-132.

25. Dawson PE. Evaluation, Diagnosis, and Treatment of Occlusal Problems. 2nd ed. St. Louis, MS: The C.V. Mosby Company; 1989.

26. Salama H, Garber DA, Salama MA, et al. Fifty years of interdisciplinary site development: lessons and guidelines from periodontal prosthesis. J Esthet Dent. 1998;10(3):149-156.

27. Buser D, Martin W, Belser UC. Optimizing esthetics for implant restorations in the anterior maxilla: anatomic and surgical considerations. Int J Oral Maxillofac Implants. 2004;92(7):43-61.

28. Raigrodski AJ. Contemporary materials and technologies for all-ceramic fixed partial dentures: a review of the literature. J Prosthet Dent. 2004;92(6):557-562.

29. Butz F, Heydecke G, Okutan M, et al. Survival rate, fracture strength and failure mode of ceramic implant abutments after chewing simulation. J Oral Rehabil. 2005;32(11):838-843.

About the Author

Robert F. Faulkner, DDS
Private Practice
Cincinnati, Ohio

Table 1

Table 1

Figure 1  Replacement of a missing tooth has long been a treatment objective to improve oral health and function

Figure 1

Figure 2  Removable prostheses can provide proper support and enhance overall facial esthetics for the patient.

Figure 2

Figure 3  Removable prostheses can provide proper support and enhance overall facial esthetics for the patient.

Figure 3

Figure 4  An example of a two-implant tissue bar for an implant-assisted prosthesis.

Figure 4

Figure 5  Locator abutments placed on implants can also be used for an implant-assisted prosthesis.

Figure 5

Figure 6  Tomograms showing natural teeth alignments on their bony bases (from Wheeler’s Dental Anatomy, Physiology, and Occlusion Textbook).

Figure 6

Figure 7  Implants placed more in alignment with natural tooth roots.

Figure 7

Figure 8  A maxillary biteplane/nightguard adjusted to centric relation.

Figure 8

Figure 9: A computed tomography scan can provide additional information to aid the implant team for proper placement of the implant(s).

Figure 9

Figure 10  Preparing the osteotomies using a surgical template.

Figure 10

Figure 11  Note the absence of bone at the facial surface of the implants. A hard-tissue graft should be considered.

Figure 11

Figure 12  Proper gingival contours following placement of the implants and subsequent hard-tissue graft.

Figure 12

Figure 13  A surgical template for placement of an implant in the esthetic zone.

Figure 13

Figure 14  A properly positioned implant. Note the tissue contour established from the provisional restoration.

Figure 14

Figure 15  A customized impression coping transfers the tissue contour to the laboratory.

Figure 15

Figure 16  Replacement of the maxillary lateral incisor with a CAD/CAM zirconium abutment and a zirconium/ceramic crown.

Figure 16

Learning Objectives:

  • understand the need for proper diagnosis and treatment planning prior to initiating treatment with dental implants.
  • describe the specific elements of implant selection.
  • recognize the biomechanical parameters necessary for occlusal and functional loading of implants.
  • discuss the requirements for an esthetic outcome for a dental implant restoration.

Disclosures:

The author reports no conflicts of interest associated with this work.

Queries for the author may be directed to justin.romano@broadcastmed.com.