Recent Innovations in Digital Technology

Dennis J. Fasbinder, DDS, ABGD; Gisele Neiva, DDS, MS

September 2014 Issue - Expires Saturday, September 30th, 2017

Inside Dentistry

Abstract

Computer-assisted design/computer-assisted manufacturing (CAD/CAM) technology has been available for dentists for almost 30 years. This article will review some of the recent innovations in equipment and clinical applications for the integration of digital technology in dental offices. Intraoral digital scans are revealed to be an essential, accurate, and versatile tool for clinical treatment.

You must be signed in to read the rest of this article.

Login Sign Up

Registration on CDEWorld is free. You may also login to CDEWorld with your DentalAegis.com account.

Digital technology for patient treatment in dentistry is generally based on CAD/CAM systems, all of which follow the same basic workflow to fabricate a restoration. Several articles have described the process in considerable detail.1-4 It begins with an intraoral scanner or camera to record the intraoral geometry to a computer program. Design software is used to configure the desired shape and contours of the restoration. Ultimately, the design data are transmitted to a milling chamber for fabrication of the final outcome.

Although the digital workflow is fairly straight­forward, the confusion begins when comparing the various systems in the marketplace. Manufacturer, hardware, software, and system functions and capabilities are common items to be considered when investigating digital systems. Such an investigation is essentially a discussion about how the specific units work and it focuses primarily on the digital process. However, it is the result of the process that determines the clinical outcome of treatment, and the outcome is the most important aspect of any discussion about digital systems. Only after determining the usefulness of the outcome for a practice is a discussion of the process a significant consideration. It is not how quickly or easily a restoration is fabricated that is the most critical consideration, but rather how well the restoration functions and performs for the patient, therefore meeting his or her expectations.

Classifying Digital Systems

Commercially available digital systems for dentistry can be arbitrarily divided into two categories: digital impression systems and chairside CAD/CAM systems. All systems are based on the general CAD/CAM process and rely on the ability to digitally record the patient’s intraoral condition in the dental office using a camera or scanner. What distinguishes the various systems is how the data are managed once they have been recorded in the dental office. Digital impression systems focus on the first step in the CAD/CAM process—to accurately record the intraoral condition to a computer data file. Once the data have been recorded, they can be electronically transmitted out of the dental office for a variety of applications. Chairside CAD/CAM systems generally provide the opportunity to maintain all three steps in the CAD/CAM process—imaging, design, and milling—in the dental office.

The initial clinical application for digital impression systems and chairside CAD/CAM systems was the fabrication of restorations for teeth in a quadrant. Inlays, onlays, crowns, and veneers have been routinely fabricated with both categories of digital systems. Although at one time, this was the only available outcome for digital systems, this is no longer the case. As the systems evolved, significantly more clinical applications have become available.

Digital Cameras and Scanners

The one component common to all digital systems is the intraoral camera or scanner used to record data files of the intraoral condition. Recording data digitally obviates the need for a conventional impression to fabricate a restoration. This represents a significant change in the clinical workflow for many dentists and is one of the common hurdles to overcome in moving to a digital treatment concept. Early scanners were primarily single-image scanners that stitched a series of single images into a virtual model. The quantity of images recorded and speed of the computer limited the size of the processed model. As the speed and graphics capabilities of computers have significantly improved, newer cameras are able to efficiently record the entire arch, and this has opened new clinical applications as well.

An obvious concern of many dentists is the size of the camera. A trend in camera development is toward more compact cameras, approaching the size of a dental handpiece. On the surface, this seems like a good development, as smaller cameras would seem to offer better intraoral access and consequently easier scanning. However, if one considers that the farthest distance a handpiece is usually moved intraorally is approximately 1 cm2 while completing a tooth preparation, this would not be sufficient range of motion for scanning an arch. Small size and the better access it provides are not necessarily advantageous characteristics. The advantage comes from a camera body that is designed for ergonomic handling as it is translated and rotated in a single-handed grasp for intraoral scanning of the arch. Although a small camera head is convenient for intraoral access for scanning, the ergonomics of the camera body may have a greater influence on the ease of intraoral scanning, as it has a direct impact on the maneuverability of the camera and the resulting image capture.

Clinical Applications

Digital impression systems are based on the concept that they are primarily an intraoral scanner or camera with administrative software programs. Their learning curve primarily involves gaining competency and proficiency in using the camera intraorally to record the desired data for the case file. The software contains functions that allow for patient identification, data file management, electronic prescription forms, and transmission of the data file to sites outside the dental office. However, there is no capability for design or milling associated with these systems.

Chairside CAD/CAM systems not only have an intraoral camera or scanner, but they also have design software and milling units to fabricate restorations in the dental office. The learning curve for these systems is a little more involved, as the software not only has the administrative functions of digital impression systems, but it also has design functions for creating the desired outcomes in the restoration. Several of the chairside CAD/CAM systems can also function as digital impression systems, offering flexibility as to how the restoration is fabricated based on the specific clinical requirements of the case.

A common question regarding both digital impression systems and chairside CAD/CAM systems involves the accuracy of the dental restorations compared to restorations produced via traditional methods. Several articles have focused on comparing models and/or restorations produced by different systems, and there is significant evidence that digital systems in general are at least comparable to, if not more accurate than, conventional impressions and gypsum models.5-7

File Sharing

It should not be surprising that the digital files used by some manufacturers have proprietary aspects that prevent their use with other manufacturers’ digital systems. These are called “closed architecture” systems. This type of file structure is very common for the chairside CAD/CAM systems, as a single company manufactures the imaging, design, and milling equipment. Digital data files cannot be moved between different chairside CAD/CAM systems. “Open architecture,” on the other hand, describes a workflow that allows for the use of digital files with more than one manufacturer’s equipment. This is rapidly becoming the more common platform, particularly as more corporate partnerships develop between companies to allow CAM fabrication using data from other manufacturers’ digital imaging systems.

Probably the most common purpose for transmitting digital files to a dental laboratory is for the processing of dental restorations. The digital file can be handled in one of two workflows by the laboratory. One option is to use the digital file like a conventional polyvinylsiloxane impression to process a working model. Both milled polyurethane and resin stereolithography (SLA) models can be fabricated in this manner depending on the system employed. The processed working model can be used with any common laboratory process, such as press-fit or waxing/investing, to fabricate the final restoration. The second workflow is to input the digital file into a laboratory software design program. The software program is used to design the desired substructure or final restoration. Once the substructure or final restoration is milled, it can be completed on the processed models. Alternatively, the final restoration can be completed without a model by using just the software program to complete a full contour restoration. The selection of a preferred restoration fabrication workflow is primarily a decision made by the dental laboratory based on details of the clinical case, the specifics of the restorative material, and capability of the laboratory.

Orthodontics

One full-arch application that has evolved considerably is the application of digital files for orthodontic diagnosis, treatment planning, intervention, and case documentation. OrthoCAD® (Cadent Inc., www.cadentinc.com) was one of the first digital units released for orthodontic applications in 2001.8 The unit was marketed to orthodontists for case documentation, virtual tooth setups, and fabrication of bracket placement applications. The iTero Digital Impression System (Align Technology, Inc., www.itero.com) was launched in 2007, with the upgrades for orthodontic applications becoming available in 2010. This provided the opportunity to combine digital impressions with the Invisalign® (Align, www.invisalign.com) treatment tools for orthodontic case planning, digital records storage, fabrication of retainers and orthodontic appliances, and treatment simulators such as the Invisalign Outcome Simulator. New software enhancements now offer the ability to scan full arches for Invisalign submission. Added features, such as an eraser tool and missed data highlight outline tool, have facilitated image capture. Submission time has also been reduced as ClinCheck® treatment plans are generally posted in 2 to 3 days.8

The True Definition Scanner (3M ESPE, www.3mespe.com) also enables clinicians to use orthodontic applications with digital impressions. In May 2013, 3M ESPE announced that this device could connect with its Unitek™ TMP for a full digital workflow with the Incognito™ Appliance System. This digital workflow offers 3D setup, review, and model overlay capabilities, with customized ordering for the Incognito orthodontic system. More recently, the True Definition Scanner was qualified for use with Invisalign for digital case submission in January 2014.

Sirona has recently introduced CEREC® Ortho software (www.sirona.com) for orthodontic scanning. This will enable a chairside system to generate a digital model that can easily be exported for orthodontic treatment planning. In addition, a Dolphin 3D (Dolphin Imaging & Management Solution, www.dolphinimaging.com) interface will aid diagnostics and patient education, while a dedicated file transfer to ClearCorrect™ (ClearCorrect, http://clearcorrect.com) will allow for the production of clear aligners. Classic appliances may be ordered from any orthodontic laboratory in the Sirona Connect network.

Implant Applications

Another rapidly growing application for digital technology includes dental implants, primarily in two applications. The first, cone-beam computed tomography (CBCT), is used during the planning phase of implant treatment; it has become a preferred preoperative 3D diagnostic tool for optimizing the surgical placement of the implant and processing CAD/CAM surgical guides for guided implant surgery. The CEREC system can directly integrate the intraoral digital scan and restoration design file onto the Digital Imaging and Communications in Medicine (DICOM) file from the CBCT. Both the Bluecam and Omnicam cameras can be used to record the area of the missing tooth/teeth, opposing dentition, and buccal bite registration. The desired restoration contours are developed in the CAD software. This design file can be directly integrated into Sirona’s Galileos implant software containing the DICOM file of the CBCT scan. This provides an opportunity for a totally integrated prosthetic-influenced refinement to the planning of the surgical implant placement. Surgical guides can also be ordered from the digital plan from either a dental laboratory or in-office on the CEREC MCXL milling chamber. Software development now enables merging of CBCT DICOM files with iTero .stl files. Surgical guides may be virtually planned and “waxed”. Generic .stl files can be exported directly, which enables merging of CBCT DICOM files and iTero files to create 3D renderings with software such as Cybermed’s In-2-Guide (www.ondemand3d.com).8

Many dentists use fixture-level impressions to record the position of the implant in the alveolus for laboratory fabrication of custom abutments and implant-retained restorations. Laboratories routinely create a stone model from the fixture-level impression that is digitally scanned with a bench top scanner so the custom abutment and restoration can be designed with laboratory CAD software programs. This workflow can be dramatically shortened now with a digital impression to record the implant position intraorally. Encode abutments or scan bodies, both considered digital fixture-level impression copings, contain unique surface geometry that, when digitally scanned, can position the specific implant 3-dimensionally within the virtual model on the CAD software. Not only does this significantly decrease the workflow, it also avoids potential inaccuracies due to fabrication and rescanning of stone models. The digital fixture-level scan is electronically transmitted to the dental laboratory, where the desired custom abutment and final restoration can be processed.

An example of the process using the True Definition Scanner to digitally record the position of a Biomet3i (Biomet, Inc., www.biomet.com) implant using an Encode® (Biomet) abutment can be seen in Figure 1 through Figure 6. The Encode healing abutment is placed on the implant to extend at least 1 mm supragingivally to make its geometry available for intraoral scanning (Figure 1). The True Definition Scanner records the intraoral data (Figure 2), and the digital file is transmitted electronically to the Biomet 3i Design Lab for design (Figure 3) and fabrication of the desired custom abutment. Once the design file is approved by the laboratory, the abutment is inserted into the digital file, and an SLA model (Figure 4) can be processed for fabrication of the final restoration (Figure 5 and Figure 6).

TRIOS® (3Shape, www.3shape.com) and iTero digital impression units can also scan implants and transmit digital files to the laboratory. The iTero 4.05 software allows scan bodies to be used with the iTero optical scanner. Implant companies such as Straumann (www.straumann.com) and Biomet 3i have proprietary scan bodies, which are referenced with a library of virtual implant analogues that fit different implant systems. Laboratories can manipulate the “open” file format to design and fabricate the custom abutment as well as the final restorations. As of June 2014, the True Definition Scanner will connect with the Straumann CARES® System to restore Straumann implants with original CARES prosthetic solutions from intraoral scans.

The latest application for digital technology and implants is the in-office design and fabrication of custom abutments and restorations for implants. The recent introduction of scan posts and scan bodies by Sirona (Figure 7 and Figure 8) provides intraoral digital fixture-level impressions that can be matched with overlaying soft-tissue scans for the development and design of custom abutments for 10 different implant systems. The recent introduction of Sirona’s inFire HTC speed furnace allows for efficient firing of the company’s inCoris zirconium oxide to create custom abutments. Alternatively, the recent introduction of lithium disilicate (e.max® CAD, Ivoclar Vivadent, www.ivoclarvivadent.us) implant blocks provides the opportunity to fabricate custom abutments or screw-retained hybrid crowns for implant restorations in a single appointment (Figure 9 through Figure 12).

Expanding Chairside Applications

The CEREC system was the first chairside CAD/CAM system introduced to dentistry almost 30 years ago.9 Over this time period, a considerable amount of in vitro and in vivo research has been published documenting the clinical efficacy and longevity of these restorations.10-13 The E4D Dentist™ system (E4D Technologies, www.e4d.com) was introduced in 2007 to offer an alternative chairside CAD/CAM system.14 Recently there have been a number of developments in hardware and software as well as new systems that have been introduced that represent workflow innovations.

Increased Flexibility

Many chairside CAD/CAM systems consist of a portable unit or cart that contains the imaging camera, monitor, and computer that communicates with a dedicated milling chamber. Some clinicians may view the portable cart as another piece of equipment requiring space in their offices. For closed architecture systems, these units offer an advantage in terms of ensured compatibility and performance of the software, as it is installed on a manufacturer-specific computer housed in the portable unit. On the other hand, many dental offices have already computers in each operatory, and some clinicians wanted to know if a camera could be directly installed on their in-office computers. Such a “plug and play” system offers the convenience of portability in multi-operatory offices that can be preferable to rolling a portable unit between operatories.

The latter category includes Planmeca PlanScan®, a result of the recent partnership between Planmeca (www.planmeca.com) and E4D Technologies. Planmeca PlanScan® is a portable chairside CAD/CAM system that was previously marketed as the NEVO system. It features a portable camera that connects to a laptop computer rather than to a portable unit. The CS 3500 Intraoral Scanner (Carestream Dental, www.carestreamdental.com) has introduced a direct-USB connection camera that can also be used with a laptop computer. The camera does not require an imaging powder to capture both 2D and 3D color images. Although purported to offer a more streamlined, portable setup, the laptop computer still must be located adjacent to the operating field for direct access to the imaging camera on either an adjacent counter or cart.

Another innovation in chairside CAD/CAM systems is represented by the recent open-architecture options offered by several companies. In October 2012, the E4D Design Center and E4D milling chamber became one of the first “trusted connections” with the True Definition Scanner. This provided an opportunity for dentists using the True Definition digital impression system to also create restorations in-office similar to chairside CAD/CAM systems. Data files recorded by the True Definition Scanner can be directly input into the E4D Design Center for in-office design of inlays, onlays, crowns, and veneers that can be milled in the E4D milling unit. In October 2013, it was announced that the iTero intraoral scanner was compatible with the E4D CAD/CAM chairside design software and milling chamber. This new workflow allows the iTero intraoral scanner to send files directly to the E4D Design software within the dental office for the immediate fabrication of crowns, bridges, inlays, onlays, and veneers.

IOS Technologies, Inc. (www.ios3d.com) was founded in 2007 and acquired by Glidewell Laboratories (www.glidewelldental.com) in 2012. The company launched the IOS FastDesign System, which includes the IOS FastScan, FastDesign CAD Software, and the TS-150 in-office milling machine. In March 2013, IOS announced that the TS-150 in-office milling machine had become a trusted connection of the True Definition Scanner and was also integrated with the TRIOS digital impression solution. This connection allows for the digital files to be transmitted from both the True Definition scanner and the TRIOS scanner to the IOS FastDesign CAD software for fabrication of in-office inlays, onlays, and crowns with the TS-150 milling machine.

At first glance, it seems easy to understand the main difference between a digital impression systems and a chairside CAD/CAM system—ie, that the final restoration is fabricated either in a dental laboratory or in the dental office. Recent innovations have offered new alternatives for digital impression systems to also use a chairside CAD/CAM workflow. But it should also be pointed out that the two original chairside CAD/CAM systems have also been longstanding digital impression systems. The CEREC Connect system and the E4D Sky Network allow for electronic transmission of the digital scan file to the dental laboratory for restoration fabrication. Carestream has CS Connect for lab transmission.

More Material Options

One consideration in selecting a digital system for a practice is the type of restorative materials that are available for the system. Esthetic, glass ceramic materials (Vitablocs Mark® II, Vident, www.vident.com; IPS Empress CAD®, Ivoclar Vivadent) that can be polished or customized in a porcelain oven must be adhesively bonded to the tooth. Higher-strength lithium disilicate material (e.max CAD) requires in-office crystallization in a porcelain oven prior to either conventional or adhesive cementation. Composite materials (Paradigm™ MZ100, 3M ESPE) are also available for design control of contours and occlusion rather than direct placement with sectional matrix bands. Temporary materials (Telio CAD, Ivoclar Vivadent; Vita CAD-Temp®, Vident) are also available for long-term temporization indications. Newer resilient restorative materials (Lava™ Ultimate, 3M ESPE; and Enamic, Vident) designed specifically for chairside CAD/CAM application offer the potential for ceramic-like outcomes with the handling characteristics of composites. Clinical research will provide definitive evidence of the clinical application and restoration longevity as materials are continually developed and introduced for chairside CAD/CAM systems.

Dental Education

Another application of CAD/CAM technology in dentistry is in the field of dental education for the purpose of objective assessment of preparations and restorations. PrepCheck (Sirona) is a software program that functions with the CEREC system that can assess quantitative differences between a student’s preparation and a master preparation. Planmeca Romexis is software that can be used for a similar purpose that operates with the E4D system. These software programs enable immediate feedback and the possibility for student’s self-assessment by comparisons to a standard of known dimensions and quality, so the students gain reinforcement without constant faculty supervision.

Conclusion

Systems that employ CAD/CAM have been gaining momentum as a result of innovations leading to new clinical applications. Expanded diagnostic and clinical applications in orthodontics and implant dentistry as well as expanded restorative capabilities are prompting the integration of clinical workflows in many dental practices. CAD/CAM systems will continue to evolve, and clinical evidence continues to be published documenting the effectiveness of CAD/CAM technology for dentistry. Ultimately, individual dentists will determine their own level of involvement with digital systems as well as the timing of incorporating these systems into their daily clinical workflows.

Disclosure

Dr. Fasbinder has received grant/research support from 3M ESPE, Biomet 3i, and Ivoclar; and honoraria from Sirona, 3M ESPE, and Ivoclar.

References

1. Beuer F, Schweiger J, Edelhoff D. Digital dentistry: an overview of recent developments for CAD/CAM generated restorations. Br Dent J. 2008;204(9):505-511.

2. Birnbaum NS, Aaronson HB. Dental impressions using 3D digital scanners: virtual becomes reality. Compend Contin Educ Dent. 2008;29(8):494, 496, 498-505.

3. Fasbinder DJ. Digital dentistry: innovation for restorative treatment. Compend Contin Educ Dent. 2010;31 Spec No 4:2-11; quiz 12.

4. Fasbinder DJ. Using digital technology to enhance restorative dentistry. Compend Contin Educ Dent. 2012;33(9):666-8, 670, 672 passim.

5. Seelbach P, Brueckel C, Wöstmann B. Accuracy of digital and conventional impression techniques and workflow. Clin Oral Investig. 2013;17(7):1759-1764.

6. van der Meer WJ, Andriessen FS, Wismeijer D, Ren Y. Application of intra-oral dental scanners in the digital workflow of implantology. PLoS One. 2012;7(8):e43312.

7. Fasbinder DJ, Neiva GF, Dennison JB, Heys D, Heys R. Evaluation of zirconia crowns made from conventional and digital impressions. J Dent Res. 2012;91(spec issue A):abstract #644.

8. Jones PE. The iTero optical scanner for use with Invisalign: a descriptive review. Ineedce.com website. www.ineedce.com/courses/2223/PDF/1202CEIjones_web_rev.pdf. Accesssed September 5, 2014.

9. Mörmann WH. The evolution of the CEREC system. J Am Dent Assoc. 2006;137 Suppl:7S-13S.

10. Fasbinder DJ. Clinical performance of chairside CAD/CAM restorations. J Am Dent Assoc. 2006;137 Suppl:22S-31S.

11. Reiss B. Clinical results of Cerec inlays in a dental practice over a period of 18 years. Int J Comput Dent. 2006;9(1):11-22.

12. Zimmer S, Göhlich O, Rüttermann S, et al. Long-term survival of Cerec restorations: a 10-year study. Oper Dent. 2008;33(5):484-487.

13. Wittneben JG, Wright RF, Weber HP, Gallucci GO. A systematic review of the clinical performance of CAD/CAM single-tooth restorations. Int J Prosthodont. 2009;22(5):466-471.

14. Levine N. To the sky and beyond. Dental Products Report. 2009:116.

About the Author

Dennis J. Fasbinder, DDS, ABGD
Clinical Professor
Director of the ComputerizedDentistry Program
University of Michigan School of Dentistry
Private Practice
Ann Arbor, Michigan

Gisele Neiva, DDS, MS
Clinical Associate Professor
Associate Director of the Graduate Restorative Program
University of Michigan School of Dentistry
Private Practice
Ann Arbor, Michigan

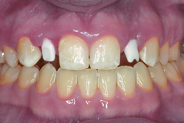
Fig 1. Preoperative view of implants (Biomet 3i) with encode abutments.

Figure 1

Fig 2. True Definition Scanner (3M ESPE) scan of encode abutments.

Figure 2

Fig 4. Stereolithography resin model with IPS e.max (Ivoclar Vivadent) crowns.

Figure 4

Fig 5. Zirconia custom abutments delivered.

Figure 5

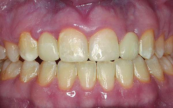
Fig 6. All-ceramic (IPS e.max) crowns delivered with incisal composite restorations on the central incisors.

Figure 6

Fig 7. Occlusal view of scan post and scan body for intraoral digital scan using the Omnicam (Sirona).

Figure 7

Fig 8. Facial view of scan post and scan body.

Figure 8

Fig 9. CEREC (Sirona) virtual model of scan post/scan body for teeth No. 30 and No. 31.

Figure 9

Fig 11. Custom abutments (e.max CAD) for No. 30 and No. 31.

Figure 11

CREDITS: 0
AGD CODE: 730 - Radiology
COST: $0
PROVIDER: Conexiant Education
SOURCE: Inside Dentistry | September 2014

Learning Objectives:

  • Explain new developments in equipment and software for digital systems.
  • Describe evolving clinical applications for digital systems in a dental office.
  • Differentiate between digital impression systems and chairside CAD/CAM systems.

Disclosures:

Dr. Fasbinder has received grant/research support from 3M ESPE, Biomet 3i, and Ivoclar; and honoraria from Sirona, 3M ESPE, and Ivoclar.

Queries for the author may be directed to justin.romano@broadcastmed.com.