Luting Lithium Disilicate and Zirconia

Lee Ann Brady, DMD

September 2015 Issue - Expires Friday, August 31st, 2018

Inside Dentistry

Abstract

Modern materials such as zirconia and lithium disilicate provide many clinical advantages but also present practitioners with new challenges, such as understanding the proper luting protocols when delivering these restorations. This article defines cementation and discusses the various cements used for these materials. It also discusses an effective process for cementing zirconia and lithium disilicate restorations to help ensure long-term success and patient satisfaction.

You must be signed in to read the rest of this article.

Login Sign Up

Registration on CDEWorld is free. You may also login to CDEWorld with your DentalAegis.com account.

In the current era of dentistry, luting is not always a straightforward proposition. Confusion exists when it comes to the difference between bonding and cementing, and many clinicians are uncertain which cements to use with today’s modern materials, such as zirconia and lithium disilicate.

The Glossary of Prosthodontic Terms1 defines bonding and cementation similarly, as the process of adhering a restoration to the prepared tooth. Confusing matters even more, the materials available today have descriptors such as self-adhesive and resin-modified. Then add to the mix that in the world of all-ceramic indirect restorations, some materials must be “bonded,” some the clinician can choose to bond or cement, and for others cementation is recommended.

For purposes of this article, cementation will refer to retention of the restoration being provided by the tooth preparation, wherein the material is responsible for sealing the dentin and preventing sensitivity and microleakage between tooth and restoration. Cementation requires mechanical retention and resistance form2 to maintain the restoration on the tooth and partner with the cement. The term bonding in this article will describe a process in which a material is used to provide adhesive retention to supplement or replace mechanical retention. In bonding, dentists create a hybrid zone that links the tooth structure and the resin and facilitates a micromechanical connection between the resin and the ceramic. The combination of the chemical and micromechanical processes connects the restorative material to the tooth and seals the gap. Effective bonding therefore requires isolation to ensure a field that is free from contamination with blood, saliva, or debris. Regardless of the process, the clinical goals are the same: retention of the restoration, durability over time, prevention of microleakage, retrievability, and prevention of sensitivity.

Cement Options

Both zirconia and lithium disilicate have adequate inherent strength to be cemented without risk of fracture when following the manufacturers’ recommendations for tooth reduction. To ensure fracture resistance for zirconia, the recommendation for occlusal reduction is 1.0 to 1.25 mm, with 0.5 mm considered the absolute minimum. Lithium disilicate requires a minimum thickness of 1.5 mm on the occlusal surface when cemented, and this can be reduced to 1 mm if a true bonding process is followed. Cementation of these high-strength ceramic restorations is accomplished with glass-ionomer, resin-modified glass-ionomer, and self-adhesive resin cements.

Glass Ionomers

Glass-ionomer cements have numerous characteristics that make them an excellent choice. They bond chemically to tooth structure, effectively seal dentinal tubules to minimize sensitivity, release fluoride,3,4 and have good expansion and contraction characteristics.5 Traditional glass-ionomer cements set through a chemical reaction of a silicate glass powder and polykenoic acid. Resin-modified glass ionomers are dual-cure materials due to the addition of HEMA and photoinitiators to the glass-ionomer components (Figure 1). Resin-modified glass ionomers can be light cured from the buccal and lingual, allowing cleaning of the cement in a gel phase. The addition of the resin also increases the flexural and tensile strengths of the material and lowers the modulus of elasticity.6 Glass-ionomer cements are convenient and efficient to use in the oral environment. Glass-ionomer and resin-modified glass-ionomer cements tend to be opaque, which can affect the esthetics of translucent all-ceramic restorations. This fact must be considered when planning restorations in the anterior.

Self-Adhesive Resin Cements

Self-adhesive resin cements can also be used for cementation of zirconia and lithium disilicate restorations. These materials are dual cure, allowing for easy cleaning following a brief light curing from the buccal and lingual, and continued dual curing where light penetration is inadequate (Figure 2). The materials typically transition from an acidic pH level to a neutral pH level during setting. It is the initial acidic pH level that is responsible for the self-etching properties. Self-adhesive resin cements are available in a range of colors, including translucent or neutral, to allow optimal esthetics (Figure 3). Bond strengths range from low (5 to 8 MPa) to medium (8 to 15 MPa).7 Self-adhesive resin cements cause reduced levels of tooth sensitivity and provide a good seal against microleakage.8 Light curing these materials increases their flexural strength. Packaged in syringes with self-mixing tips or capsules, these materials are efficient and easy to use.9

The Luting Process

When cementing with either of the above materials, the restoration is tried in to ensure marginal fit, interproximal contacts, and occlusion. The restoration is adjusted as needed and polished outside the mouth.

Cleaning the intaglio of the restoration to remove saliva, blood, and debris will increase adaptation of the cement to the internal surface.10 This can be accomplished using alcohol, phosphoric acid, or commercially available ceramic cleaners. The tooth can be cleaned and desensitizer applied to decrease bacterial contamination of the dentin and decrease postoperative sensitivity prior to seating the restoration. The restoration is loaded with cement and then placed on the preparation firmly to express excess and seat against the margins. Both resin-modified glass-ionomer and self-adhesive cements should be light cured from the buccal and lingual to reach an initial set. Excess cement is then cleaned, and additional light curing can be completed. The duration before the patient can eat and floss are manufacturer dependent.

Maximizing Retention with Bonding

When the tooth preparation for either zirconia or lithium disilicate lacks retention and resistance form required for a cementation-only protocol, increased adhesive retention becomes necessary using materials and techniques that generate greater bond strengths. In these clinical situations, the practitioner must control the bond to the internal surface of the restoration as well as the bond to the tooth preparation.

Zirconia is prepared utilizing micro-etching with 50-micron aluminum oxide powder.11,12 Following surface treatment, the restoration is primed. Studies have shown that a product containing 10-methacryloyloxydecyl dihydrogen phosphate monomer results in higher bond strengths with zirconia.13,14 The surface of lithium disilicate is treated by chemical etching with hydrofluoric acid at 5% for 20 seconds, followed by application of a ceramic primer.15 The restoration can be tried in prior to surface treatment and the ceramic treatment completed in the dental office. If the dentist requested that the laboratory treat the surface of the ceramic, it should not be etched again after try-in, but should be cleaned to remove saliva, blood, and debris. Traditionally, restorations were cleaned after try-in with 30% to 40% phosphoric acid. If the restoration is cleaned with phosphoric acid, it is recommended to then place the restoration in distilled water in a reclosable plastic bag and ultrasonic cleaner for 3 to 5 minutes. Zirconia should not be cleaned with phosphoric acid because the bonding process to zirconia requires phosphates in the ceramic primer to couple with the restorative material.16 The phospholipids in saliva interfere with this process, but attempting removal by using phosphoric acid actually worsens the situation, reducing the clinician’s ability to adhere the restoration. Recently, a ceramic cleaner came on the market that can be used effectively on zirconia and lithium disilicate for successful bonding. Ivoclean (Ivoclar Vivadent, www.ivoclarvivadent.com) is applied to the intaglio for 30 seconds, then rinsed and dried.

Dual-cure systems are recommended in the posterior or for thicker restorations where light penetration may be inadequate.17,18 Where light penetration will be predictable, using a light-cure–only resin bonding system is preferred. Many dual-cure resin cements contain amines, which pose a risk for color shifting of the cement over time in the oral environment. For this reason, in anterior esthetics the use of an amine-free dual-cure resin cement, or a light-cure-only system is more predictable. Light-cure-only systems also allow the flexibility of unlimited working time to clean and ensure proper seating of the restoration. Many of these products are available as self-contained kits that include all the materials necessary for the entire bonding process.

Seating Considerations

The first stage in preparation of the tooth is etching the enamel and dentin. Both total-etch and self-etch approaches are predictable. The greater the quantity of enamel surface being bonded to at the margins or even throughout the body of the preparation, the more advantageous total-etch will be to ultimate bond strengths. Antimicrobials and desensitizers can be applied in combination with resin bonding systems, without interfering to the development of enamel and dentin bonds.19,20 The primer and resin are applied to the tooth surfaces, and the solvent evaporated using a clean dry air source prior to seating the restoration. Whether the dentist cures the adhesive layer prior to seating the final restoration is dependent upon the film thickness of the adhesive and the manufacturer directions for the material. Once the final restoration is seated, the excess resin must be removed. Uncured resin should be removed by moving from ceramic to tooth, or parallel along the marginal interface, not by moving from tooth to ceramic for risk of opening the margin. Application of glycerin or liquid strip will prevent the formation of an uncured film of resin due to oxygen inhibition.

Conclusion

The combination of high-strength ceramics and the currently available bonding and cementation protocols offers dentists an incredibly high degree of flexibility around tooth preparation without compromising retention and durability, while offering patients conservative, highly esthetic, highly functional restorations.

One of the challenges we will face moving forward will be the replacement of indirect restorations fabricated from these materials. The high bond strengths of our modern cements and bonding systems have prompted the development of new instrumentation and techniques.

About the Author

Dr. Lee Ann Brady owns Desert Sun Smiles Dental Care, a private restorative practice in Glendale, Arizona. Outside of her private practice, Dr. Brady teaches, presents at meetings internationally, and writes a clinical dental education blog on her website at www.leeannbrady.com. A lifelong learner, Dr. Brady dedicates countless hours to studying and understanding occlusion, restorative dentistry, and dental materials performance.

She is the clinical editor of the Seattle Study Club Journal, a guest presenter at The Pankey Institute, and teaches for the University of Florida College of Dentistry Department of Continuing Education. Dr. Brady has published articles in a variety of print and web publications and is a frequent presenter at local, state, national and international dental meetings.

References

1. The Glossary of Prosthodontic Terms. Academy of Prosthodontics website. www.academyofprosthodontics.org/_Library/ap_articles_download/GPT8.pdf. Accessed July 28, 2015.

2. Gilboe DB, Teteruck WR. Fundamentals of extracoronal tooth preparation. Part I. Retention and resistance form. J Prosthet Dent. 1974;32(6):651-656.

3. Chau NP, Pandit S, Cai JN, et al. Relationship between fluoride release rate and anti-cariogenic biofilm activity of glass ionomer cements. Dent Mater. 2015;31(4):e100-e108.

4. Forsten L. Fluoride release and uptake by glass-ionomers and related materials and its clinical effect. Biomaterials. 1998;19(6):503-508.

5. Mount GJ. Some physical and biological properties of glass ionomer cement. Int Dent J. 1995;45(2):135-140.

6. Xie D, Brantley WA, Culbertson BM, Wang G. Mechanical properties and microstructures of glass-ionomer cements. Dent Mater. 2000;16(2):129-138.

7. Radovic I, Monticelli F, Goracci C, et al. Self-adhesive resin cements: a literature review. J Adhes Dent. 2008;10(4):251-258.

8. Jaberi Ansari Z, Kalantar Motamedi M. Microleakage of two self-adhesive cements in the enamel and dentin after 24 hours and two months. J Dent (Tehran). 2014;11(4):418-427.

9. Makkar S, Malhotra N. Self-adhesive resin cements: a new perspective in luting technology. Dent Update. 2013;40(9):758-760, 763-764, 767-768.

10. Aladağ A, Elter B, Çömlekoğlu E, et al. Effect of different cleaning regimens on the adhesion of resin to saliva-contaminated ceramics. J Prosthodont. 2015;24(2):136-145.

11. Bielen V, Inokoshi M, Munck J, et al. Bonding effectiveness to differently sandblasted dental zirconia. J Adhes Dent. 2015

12. Smith RL, Villanueva C, Rothrock JK, et al. Long-term microtensile bond strength of surface modified zirconia. Dent Mater. 2011;27(8):779-785.

13. Chen L, Suh BI, Brown D, Chen X. Bonding of primed zirconia ceramics: evidence of chemical bonding and improved bond strengths. Am J Dent. 2012;25(2):103-108.

14. Koizumi H, Nakayama D, Komine F, et al. Bonding of resin-based luting cements to zirconia with and without the use of ceramic priming agents. J Adhes Dent. 2012;14(4):385-392.

15. Lise D, Perdigão J, Van Ende A, et al. Microshear bond strength of resin cements to lithium disilicate substrates as a function of surface preparation [published online ahead of print March 6 2015]. Oper Dent.

16. Blatz MB, Sadan A, Kern M. Resin-ceramic bonding: a review of the literature. J Prosthet Dent. 2003;89(3):268-274.

17. Passos SP, Kimpara ET, Bottino MA, et al. Effect of ceramic thickness and shade on mechanical properties of a resin luting agent. J Prosthodont. 2014;23(6):462-466.

18. Zhang X, Wang F. Hardness of resin cement cured under different thickness of lithium disilicate-based ceramic. Chin Med J (Engl). 2011;124(22):3762-3767.

19. Reinhardt JW, Stephens NH, Fortin D. Effect of Gluma desensitization on dentin bond strength. J Biomater Sci Polym Ed. 2010;21(5):593-608.

20. Cobb DS, Reinhardt JW, Vargas MA. Effect of HEMA-containing dentin desensitizers on shear bond strength of a resin cement. Am J Dent. 1997;10(2):62-65.

Full-coverage lithium disilicate crowns luted with a self-curing resin-based dental luting material with a light-curing option (Multilink® Automix, Ivoclar Vivadent, www.ivoclarvivadent.com). Ceramics by Gold Dust Dental Lab.

Figure 1

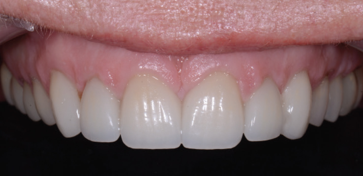
Lithium disilicate anterior veneers luted with a light-curing luting cement (Variolink Veneer, Ivoclar Vivadent, www.ivoclarvivadent.com). Ceramics by Gold Dust Dental Lab.

Figure 2

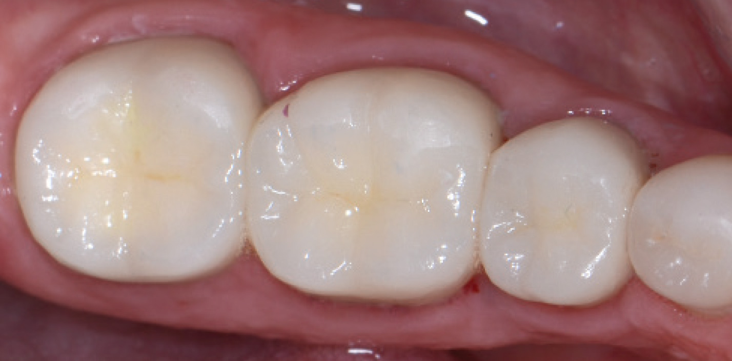
Layered zirconia restorations, which were luted in this case with a resin-modified glass ionomer cement (GC FujiCEM™, GC America, www.gcamerica.com).

Figure 3

CREDITS: 0
AGD CODE: 610 - Ceramic Restorations
COST: $0
PROVIDER: Conexiant Education
SOURCE: Inside Dentistry | September 2015

Learning Objectives:

  • Describe the definitions of bonding and cementing.
  • Discuss various cements for use with zirconia and lithium disilicate.
  • Explain the process of cementation including how to maximize retention of these materials with bonding.

Disclosures:

The author reports no conflicts of interest associated with this work.

Queries for the author may be directed to justin.romano@broadcastmed.com.