Diagnostically Driven Preparation Design

Zachary S. Sisler, DDS

May 2018 Issue - Expires Monday, May 31st, 2021

Inside Dentistry

Abstract

When preparing anterior teeth for restoration, the use of guides not only increases the predictability and efficiency of the final outcome, but also reduces the chance of overreduction, conserving more natural tooth structure. If a tooth is overprepared, the final veneer/crown could lack retention and natural translucency; however, if a tooth is underprepared, the laboratory may be forced to make compromises to either the strength or esthetics in the final restoration. Using preparation guides allows the dentist to better visualize the final outcome during preparation and know with confidence that the lab will be allowed the appropriate amount of space in the preparations to create restorations with adequate strength and ideal esthetics. This article discusses the use of preparation guides (ie, either silicon matrices or a bis-acryl material technique) and provides recommendations for preparing anterior teeth for porcelain veneers.

You must be signed in to read the rest of this article.

Login Sign Up

Registration on CDEWorld is free. You may also login to CDEWorld with your DentalAegis.com account.

With the ever-increasing cost of overhead in a dental practice, it is hard to imagine a dentist leaving an esthetic case to chance. But according to dental laboratory technicians, some dentists are still utilizing the "prep and pray" method. This can result in costly remakes, wasted chair time, and patient dissatisfaction. In modern society, patients have become more demanding than ever before regarding time and resources. Whether it is for a routine oral prophylaxis or a complex, full-mouth rehabilitation, when patients arrive at the office, they expect the process to be predictable and efficient. The stress involved in meeting these needs can be even greater when an esthetic smile change is involved. However, these stresses can be minimized if the dentist is willing to take the time necessary to methodically plan, prepare, and place esthetic restorations. If shortcuts are taken for any of these steps, the end result could be devastating for both the patient and the dentist.

The Planning Phase

Treatment planning a case allows the dentist to take the patient's desires and needs into consideration before a diamond bur ever touches a tooth. It also gives the dentist a chance to assess the patient's biological and functional risk prior to the placement of restorations.1 This begins with a complete exam, a full-mouth series of radiographs, a series of photographs, and facebow-mounted casts in centric relation. The success of a treatment plan and the corresponding treatment hinges greatly on the dentist's ability to visualize the end result and solve complex issues that could interfere with the overall smile design, such as occlusal instability, to ensure long-term success.2,3 Once the dentist has reviewed the case and the treatment goals have been outlined, a diagnostic wax-up can be completed to allow the patient to visualize the esthetic changes that could potentially be achieved.4 This gives the patient an opportunity to view the direction in which the final restorations are headed. When the patient is able to visualize the potential outcome before the initiation of treatment, it facilitates much easier case acceptance as well as a more predictable result.

The diagnostic wax-up is a critical part of the treatment planning process because it serves two main purposes that, although often viewed as separate entities, are actually interrelated. First, it contributes to the smile design and esthetic changes that the patient desires, and second, it serves as an important check for the dentist to ensure that functional stability and harmony can be achieved simultaneously. Once both of these requirements have been met, preparation guides can be fabricated using a silicon putty material. These guides help the clinician visualize changes in the mouth during the preparation and provisionalization stages of treatment.5 Proper planning prior to the completion of any preparations can result in the need for little or no preparation, which can save the patient from undergoing gross over- or under-reduction.6

The Preparation Phase

Preparing anterior teeth involves a combination of art and science. In order to provide strength as well as beauty, porcelain restorations require adequate thickness. Many dentists only consider the strength aspect when preparing teeth for crowns or veneers. Although strength is important, the beauty aspect is often of greater concern to the patient. Therefore, when designing a preparation to accept a veneer, it is critical to treat the teeth how they appear in nature. Keeping in mind that in nature, form follows function, and this needs to be maintained in the final restorations for anterior teeth.7 Teeth are not monoplane; they are anatomically complex with curves, line angles, and multiple planes. When building an anterior porcelain restoration, to mimic nature, the dentist has to take this into consideration during the preparation phase. If the preparation is under-reduced, the laboratory may be forced to make compromises to either the esthetics or strength in the final restoration. Alternatively, when a tooth is overprepared, the final veneer/crown could lack retention and natural translucency. The goal with any preparation is to minimize the amount of reduction to maximize the desired strength and beauty. When preparations are designed with the final contours in mind, the preparation appointment can be cost-effective and time-efficient.8

Facial Reduction

From the perspective of many dental lab technicians, one of the most common mistakes when preparing anterior teeth is under-reduction of the labioincisal third.9 When this occurs, the technician has two choices: (1) build the restoration to the proper thickness, which could result in a bulky appearance to the patient's smile; or (2) sacrifice the final esthetics and fabricate a thinner restoration, which could be prone to fracture. Because the lab is constrained by the preparation design, it is of the utmost importance that the dentist take the necessary time to prepare the facial portion of the tooth in three distinct planes: the gingival third, the middle third, and the incisal third. This starts from the mesial interproximal area and extends through the mesiofacial line angle, across the facial, and through the distofacial line angle to the distal interproximal area, following the natural contours of the tooth. This process provides uniformity to the preparation, which allows the lab to optimize the esthetics without compromising the thickness.10 A very simple way to accomplish this is by utilizing a preparation guide made from the diagnostic wax-up (Figure 1 and Figure 2). The guide will help the dentist remove the appropriate amount of tooth structure based on the material of choice and shade selection. McLaren and his group at UCLA found that, ideally, a 0.3-mm thickness of porcelain is needed for each degree of shade change. Therefore, when a patient desires a shade change of several degrees, a more aggressive preparation is needed in order to create the space required.11 By using a preparation guide for the facial reduction (Figure 3 and Figure 4), the clinician can visualize the outcome and have confidence that there is adequate reduction for the desired material selection (eg, feldspathic or pressed porcelain). Achieving adequate reduction enables the laboratory technician to masterfully build all of the shade and surface attributes into the restoration without compromise.

Incisal Reduction

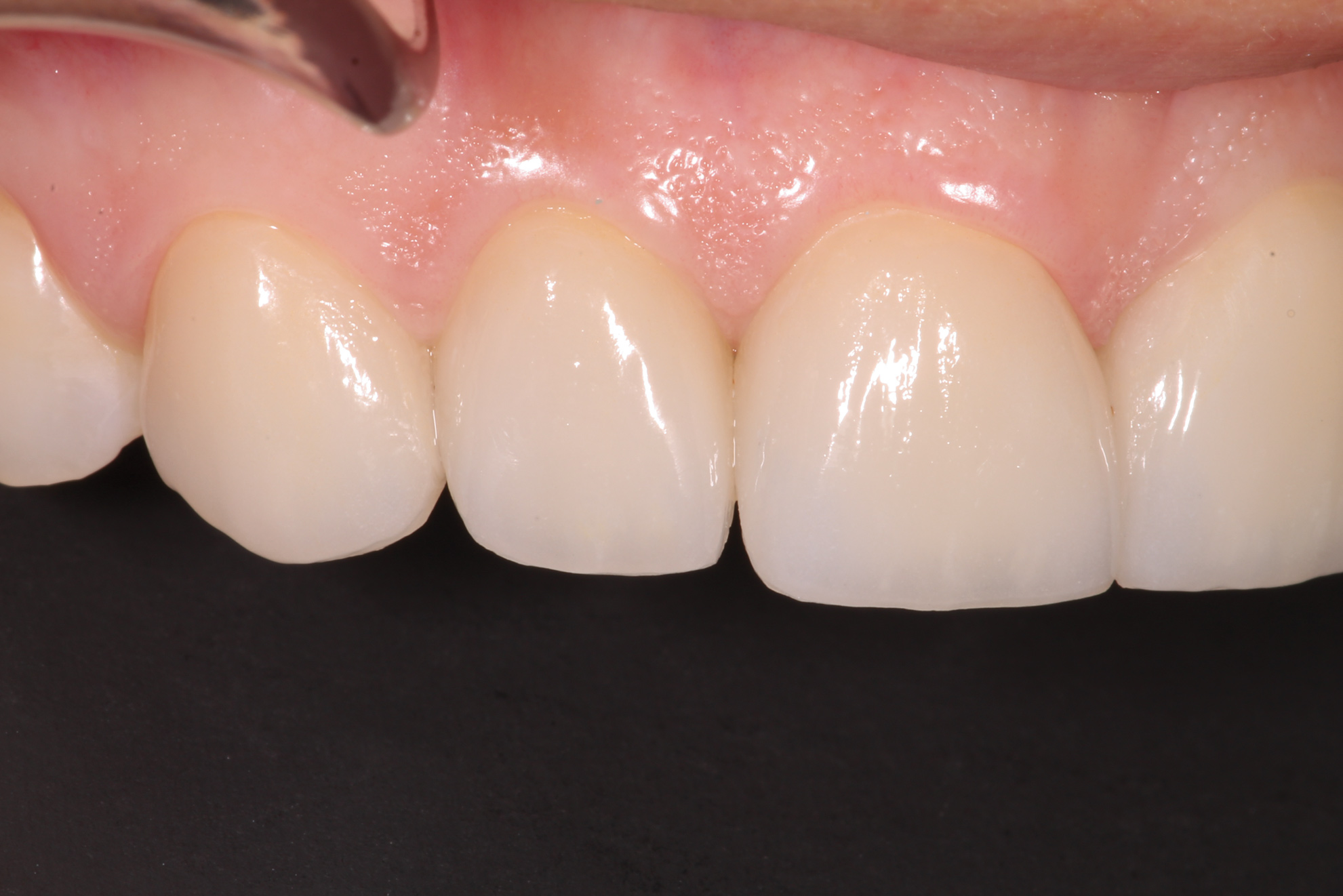
If a patient desires increased translucency to bring a more youthful appearance to his or her new smile, it is important to establish enough clearance for this to be built into the final veneer or restoration. Considering the average central incisor to be 10 to 11 mm in length,12 the dentist has to determine if the case will require an additive technique or a reductive technique. Ideally, there should be 1.5 mm of clearance for a proper incisal edge to be replicated in a porcelain restoration. By transferring a preparation guide from the wax-up to the mouth, this can be visualized before any reduction is attempted (Figure 5 and Figure 6).13 In situations where greater length is desired, there is the possibility that no reduction will be needed; however, for the patient who feels that his or her teeth are too long, the incisal portion might need to be reduced in order to ensure proper uniformity in the incisal edge translucency. Using a preparation guide to ensure proper preparation design and avoid compromises related to under-reduction allows the laboratory to seamlessly reproduce the incisal edge translucency and surface textures that make porcelain restorations display a lifelike appearance (Figure 7).14

Interproximal Reduction

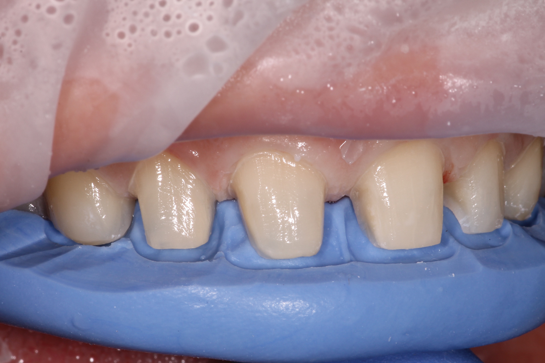
Whether or not to break the contact when preparing anterior veneers is a debatable topic. However, when preparing the interproximal area, one must take into consideration not only the effect of the esthetic contours on the visual presentation but also the effect of the restorative contours on periodontal health because the final restoration will need to house and protect the gingival papilla.15 When a tooth is underprepared, two issues affecting the final restoration can occur. First, the tooth may be over-contoured to allow an adequate volume of material for the final restoration. Over-contoured restorations often have a more negative impact on gingival health and can result in gingival inflammation and difficulty performing oral hygiene procedures.16 Second, as in the case of a diastema closure, black triangles may appear at the gingival embrasures when the laboratory is not given enough room to adequately fill the embrasure space.17 This can be visualized by placing the incisal reduction preparation guide in the mouth to see where the embrasures of the teeth are supposed to emerge (Figure 8); however, it ultimately needs to be tested and evaluated in the provisional stage of treatment. When deciding whether or not to prepare through the interproximal, the dentist must determine if the free gingival margin is in the appropriate position and if the laboratory technician will have adequate room without needing to create bulky contours that impinge on the gingiva.

Lingual Reduction

The lingual contours, which relate to function rather than esthetics, are as important as the facial contours, especially when a patient has worn away tooth structure as a result of occlusal instability. When a new anterior guidance has been diagnostically completed in the wax-up, this information still needs to be transferred to the preparations via silicon preparation matrices and further tested in the provisional phase (Figure 9 and Figure 10).18 Once confirmed, the lab can duplicate the lingual contours in the final restorations.19

Bis-Acryl Technique

In addition to silicon matrices, another technique that has proven effective as a preparation guide involves transferring the wax-up to the mouth using a temporary bis-acryl material. Depth cuts can be made into the bis-acryl using depth-cutting burs. In this manner, the dentist can visualize the contours and shape of the teeth while preparing away the plastic before getting to the enamel (Figure 11 through Figure 13). Depending on the desired final tooth contours, this process can result in very minimal preparations into enamel and ultimately, greater bond strength for the final restorations.20

Placement of Final Restorations

When the proper time and attention have been given to planning the preparation of anterior teeth, the final restoration insertion appointment can be completed in a more efficient manner. The dentist knows with confidence that the lab was allowed the appropriate amount of space in the preparations to create restorations with adequate strength and ideal esthetics. Furthermore, the patient is able to have a more positive experience because the approved provisionals seamlessly blend into the final porcelain restorations. This removes stress from the equation for both the patient and the dentist. The dentist is able to try-in the restorations with try-in paste for a quick esthetic and functional check prior to bonding them into place. In addition, using preparation guides to facilitate the most minimal preparations without over-reduction also reduces the chances of postoperative sensitivity and lack of retention (Figure 14 through Figure 19).21

Conclusion

Mastering the planning, preparation, and placement of porcelain restorations for anterior teeth requires deliberate practice. Whether the choice is made to use silicon preparation matrices or the bis-acryl technique, the key to success is finding which technique works best for the clinician and then perfecting it through repetition until it allows for efficiency, predictability, and profitability. 

About the Author

Zachary S. Sisler, DDS
Private Practice
Shippensburg, Pennsylvania

References

1. Kois JC. New challenges in treatment planning: incorporating the fundamentals of patient risk management. Part 2. Journal of Cosmetic Dentistry. 2011;27(1):110-123.

2. Cobb AC. Complete treatment planning: meeting patients' needs. Inside Dentistry. 2015;11(8):66-70.

3. Morley J, Eubank J. Macroesthetic elements of smile design. J Am Dent Assoc. 2001;132(1):39-45.

4. Dudney TE. Using diagnostic wax-ups and preparation guides to facilitate accurate and esthetic diastema closure and functional bite alteration. Inside Dentistry. 2008;4(7):54-57.

5. Cranham J, Finlay S. Timeless principles in esthetic dentistry. Journal of Cosmetic Dentistry. 2012;28(3):60-68.

6. LeSage B, Wells D. Myths versus realities: veneers and prep-less veneers. Journal of Cosmetic Dentistry. 2011;27(2):66-76.

7. Dawson P. The Envelope of Function. In: Functional Occlusion: From TMJ to Smile Design. St. Louis, MO: Mosby; 2007:141-147.

8. Magne P, Belser UC. Novel porcelain laminate preparation approach driven by diagnostic mock-up. J Esthet Restor Dent. 2004;16(1):7-18.

9. Hess LA. Management of the incisal edge: The key to functional and esthetic success in anterior restorations. Inside Dentistry. 2013;9(10):56-64.

10. Olitsky J. Seven worst violations of smile design: achieve better esthetics by understanding common mistakes. Inside Dentistry. 2015;11(9):60-68.

11. McLaren E. Porcelain veneer preparations: to prep or not to prep. Inside Dentistry. 2006;2(4):76-79.

12. Ash M, Nelson S. The Permanent Maxillary Incisors. In: Wheeler's Dental Anatomy, Physiology and Occlusion. 8th ed. St. Louis, MO: Elsevier;2003:149-170.

13. Magne P, Magne M. Use of additive waxup and direct intraoral mock-up for enamel preservation with porcelain laminate veneers. Eur J Esthet Dent. 2006;1(1):10-19.

14. Santos A, Villarroel M, Villarroel A, Portales D. Different materials for different situations ceramic solutions for specific restorative indications. Journal of Cosmetic Dentistry. 2016;31(4):70-80.

15. Ash M, Nelson S. Forensics, Comparative Anatomy, Geometries, and Form and Function. In: Wheeler's Dental Anatomy, Physiology and Occlusion. 8th ed. St. Louis, MO: Elsevier;2003:99-118.

16. Spear FM, Cooney JP. Restorative Interrelationships. In: Newman MG, Takei HH, Klokkevold PR, Carranza FA, eds. Carranza's Clinical Periodontology. St. Louis, MO: Saunders Elsevier;2006:1050-1069.

17. Rouse JS. Full veneer versus traditional veneer preparation: a discussion of interproximal extension. J Prosthet Dent.1997;78(6):545-549.

18. Dawson P. Anterior guidance and its relationship to smile design. In: Functional Occlusion: From TMJ to Smile Design. St. Louis, MO: Mosby; 2007:159-175.

19. Sesemann M. Diagnostic full-coverage provisionals for accurately communicating esthetic and functional. Funct Esthetics Restor Dent. 2008;2(2):8-14.

20. Gurel G, Morimoto S, Calamita MA, et al. Clinical performance of porcelain laminate veneers: outcomes of the aesthetic pre-evaluative temporary (APT) technique. Int J Periodontics Restorative Dent. 2012;32(6):624-635.

21. Christensen GJ. Has tooth structure been replaced? J Am Dent Assoc. 2002;133(1):103-105.

(1.) Facial reduction matrix that can be sliced horizontally to show the reduction needed in three different facial planes.

Figure 1

(2.) Top-down view of the same reduction matrix showing the positive seat on the palate and posterior teeth.

Figure 2

(3.) Labioincisal reduction using the facial reduction matrix. Amalgam restorations on teeth Nos. 7 and 10 were replaced with composite during the preparation phase.

Figure 3

(4.) Midfacial reduction using the facial reduction matrix.

Figure 4

(5.) Incisal reduction matrix made from the diagnostic wax-up.

Figure 5

(6.) Matrix trimmed along the incisal edge for better visualization.

Figure 6

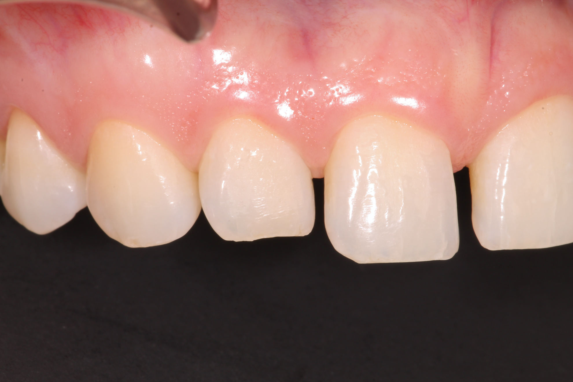
(7.) Preparation guide in the mouth showing a uniform incisal reduction.

Figure 7

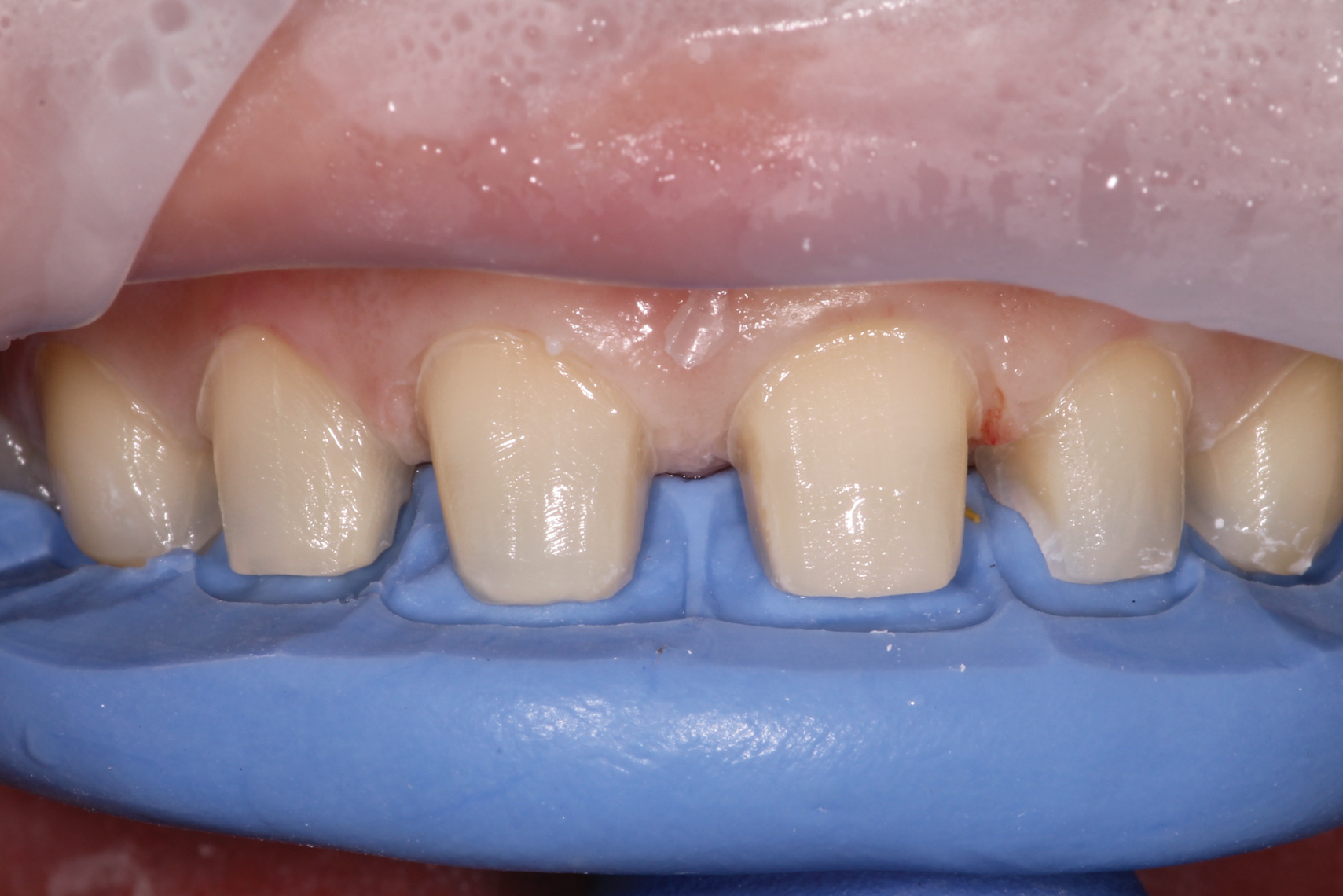
(8.) Showing the gingival and incisal embrasure opening for the desired porcelain veneers. This aspect of preparation still needs to be tested and verified in the provisional stage.

Figure 8

(9.) A lingual reduction matrix of newly established anterior guidance on diagnostic wax-up (not the same case depicted in the other figures).

Figure 9

(10.) Lingual reduction guide in the mouth for visualization of the desired clearance for anterior guidance for full-coverage restorations (not the same case depicted in the other figures).

Figure 10

(11.) Bis-acryl provisional material being loaded into a provisional stent fabricated from the diagnostic wax-up.

Figure 11

(12.) The bis-acryl in place prior to depth cuts.

Figure 12

(13.) Depth cuts made in three facial planes, extending from the distofacial to the mesiofacial, in order to visualize the proper reduction.

Figure 13

(14.) The preoperative right smile.

Figure 14

(15.) The preoperative left smile.

Figure 15

(16.) The postoperative right smile.

Figure 16

(17.) The postoperative left smile.

Figure 17

(18.) The preoperative 1:1.

Figure 18

(19.) The postoperative 1:1, displaying a healthy gingival response.

Figure 19

CREDITS: 0
AGD CODE: 250 - Restorative Dentistry
COST: $0
PROVIDER: Conexiant Education
SOURCE: Inside Dentistry | May 2018

Learning Objectives:

  • Explain the potential problems that can occur when teeth are over- or underprepared.
  • Discuss the specific considerations involved in facial, incisal, interproximal, and lingual reduction when preparing anterior teeth.
  • Summarize the benefits to strength, esthetics, predictability, and efficiency that can be realized through the use of preparation guides.

Disclosures:

The author reports no conflicts of interest associated with this work.

Queries for the author may be directed to justin.romano@broadcastmed.com.