Considerations for the Placement of Endodontic Posts

Abigail Baldwin; Brooke Blicher, DMD; and Rebekah Lucier Pryles, DMD

January 2023 Issue - Expires Saturday, January 31st, 2026

Inside Dentistry

Abstract

Prior to the development of adhesive dentistry, posts were routinely utilized in the restoration of endodontically treated teeth to facilitate the mechanical retention of core buildups. Many long-term studies on teeth restored with bonded cores have demonstrated that posts do not improve restorative outcomes except in teeth with limited to no remaining coronal tooth structure. In addition, the placement of posts has been shown to be associated with a multitude of risks, including but not limited to bacterial leakage, root fractures and perforations, and loosening over time. With a multitude of adhesive and restorative options at their disposal, clinicians should exercise careful case selection when considering post placement. This article examines the indications and contraindications for post placement in endodontically treated teeth, the risks associated with post placement, post selection criteria, and evidence-based protocols for placement.

You must be signed in to read the rest of this article.

Login Sign Up

Registration on CDEWorld is free. You may also login to CDEWorld with your DentalAegis.com account.

The purpose of placing a post into an endodontically treated tooth is to retain the core when insufficient coronal tooth structure remains.1 Prior to the development of adhesive dentistry, cores relied on mechanical retention alone, which made posts more of a necessity in many cases. However, because core material can now be bonded to the remaining coronal tooth structure as well as to the floor of the pulp chamber for chemical retention, the mechanical retention provided by posts is often unnecessary. As a result, clinicians should use careful case selection criteria when considering post placement in endodontically treated teeth.

One argument that some restorative clinicians make is that despite the ability to bond core materials, posts are still needed to improve outcomes. Although posts are indicated in the restoration of some endodontically treated teeth, many studies in the literature demonstrate that they do not improve clinical outcomes in most cases. A study comparing cast posts and cores, prefabricated metal posts with resin composite cores, and composite cores without posts showed that the type of restoration had no influence on clinical outcomes.2 In another study that evaluated 6,000 patient records, post placement did not significantly improve the clinical success rate of any tooth restored after endodontic treatment.3 The teeth restored with posts that were examined in the study demonstrated no increase in resistance to fracture or crown dislodgement.3 In addition, some authors have found that teeth restored without posts demonstrated higher survival rates than teeth in which posts were placed.4 Regarding the evidence supporting post placement, one study indicated a positive impact on prognosis for the restoration of endodontically treated premolars.5 In light of all of the available research, clinicians should only elect to utilize posts in restorations for specific clinical reasons rather than placing them based on the general perception that they have a positive impact on outcomes.

Remaining Tooth Structure

Given its role in core retention, clinicians should always consider the remaining tooth structure when deciding whether or not to place a post. Specifically, clinicians should consider the number of remaining coronal walls. Studies indicate that post placement may improve the prognosis of teeth that have 0 to 2 remaining coronal walls.6,7 The preservation of at least one coronal wall significantly reduces the risk of restorative failure, and the complete absence of coronal walls increases the risk of failure in teeth restored with or without posts.5 Furthermore, the presence of 1.5 mm to 2.0 mm of ferrule has been shown to significantly improve the fracture resistance of endodontically treated teeth.8 When a tooth can be prepared with adequate ferrule, the restorative protocol, including post placement, has less of an impact on the clinical outcome.8 All things considered, the preservation of coronal tooth structure is one of the most important factors in a tooth's prognosis, regardless of the restorative procedure completed.2,5,6

Risk Management

Clinicians should also consider the risks involved when electing to pursue a treatment modality and communicate these risks to patients during the informed consent process. Like all other dental procedures, post placement is associated with risk. One long-term study found that teeth restored with posts demonstrated a 10% overall incidence of clinical complications.9 One of the more common complications associated with posts is loosening.9 The high incidence of post loosening can likely be attributed to the fact that radicular dentin is a poor bonding substrate for the adhesives used to cement posts.10 The preparation of the post space creates a smear layer in the canal space that may not be completely removed with etching procedures.10 In addition, the presence of moisture in the canal space, the limited ability of light to penetrate and polymerize the adhesives, and microleakage over time are all factors that interfere with the adhesive interface.10

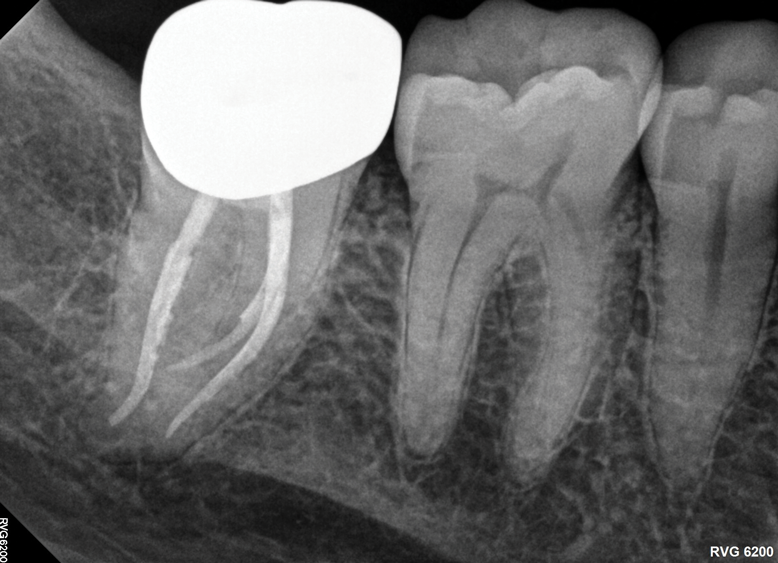
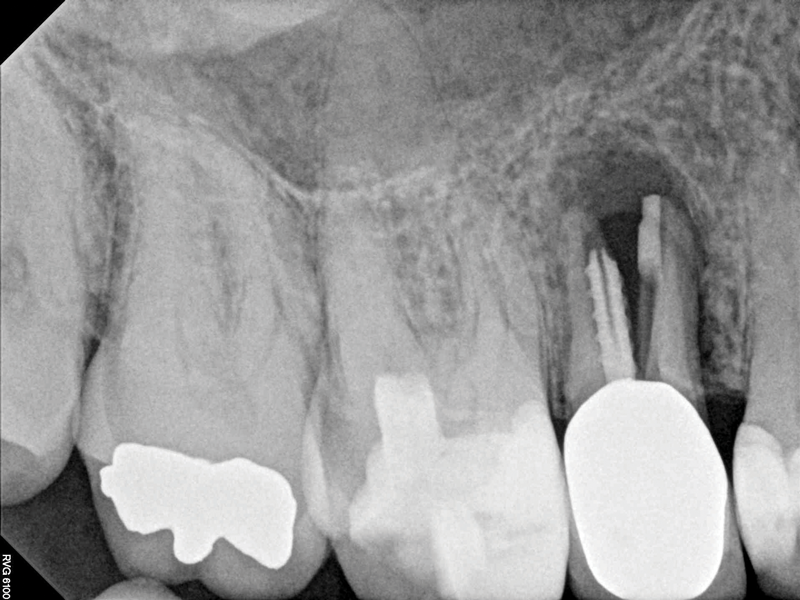
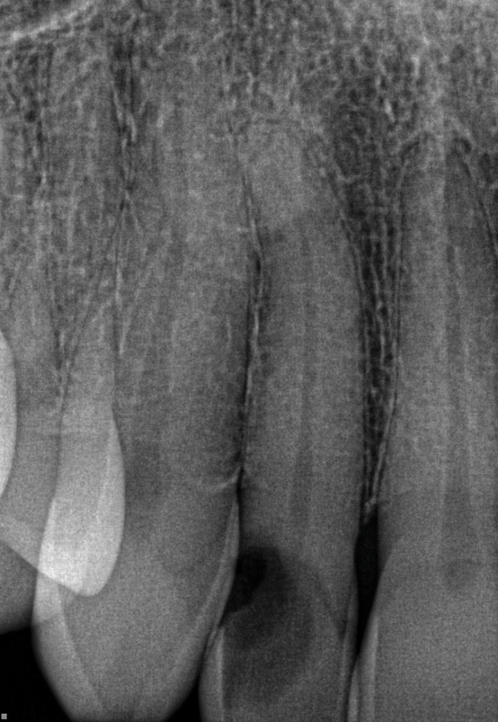
Other common risks associated with post placement include the occurrence of root fracture, perforation, and apical leakage as well as the development of caries (Figure 1 through Figure 3).9 How the post space is prepared significantly affects the ability of the root canal filling material to create a seal.11 Apical leakage increases in correlation with the amount of gutta percha removed from an endodontically treated tooth, increasing the risk of reinfection.11 The risks of fracture and perforation must also be seriously considered. After the performance of endodontic treatment alone, furcation-side dentin thickness in the distal roots of mandibular molars has been shown to be less than 1 mm in more than 80% of teeth.12 After preparation of the post space, the remaining dentin thickness in the buccal roots of premolars has been shown to be often less than 1 mm.13 The remaining thickness of the root dentin after endodontic and post placement procedures is the factor most highly correlated with future resistance against root fractures.13 These anatomic studies underscore the need for judicious preparation, and the risks of post placement underscore the need for careful case selection.

Post Selection Criteria

In cases in which restorative factors dictate the necessity of post placement, clinicians should thoughtfully consider the design of the post selected. The width of a post should not exceed more than one third of the width of the root in which it is placed, and the length of a post should either equal the length of the clinical crown or measure two thirds the length of the root, whichever is longer.14 To maintain the apical seal, the preparation of the post space should not result in there being less than 5 mm of remaining gutta percha (See Characteristics of the Ideal Post).11

The shape of a post should be retentive yet induce as little stress to the root structure as possible. When compared with tapered posts, parallel posts have been found to produce better outcomes overall because they provide retention while resulting in fewer root fractures.15 With that being said, tapered posts may be advantageous in teeth with narrow canals, such as maxillary premolars, because the tapered shape can prevent the need for the excessive removal of tooth structure during post space preparation. The surface of a post must also be considered. Although threaded posts are available, smooth posts should be utilized because threads have been shown to induce more stress and are associated with fracture.15

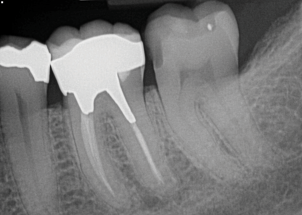
The material used to fabricate a post should be considered as well. Both cast and prefabricated options are available, but there is no consensus regarding the effect of cast versus prefabricated posts on survival rates, and different studies have found opposing results.5,16 The most common materials used in posts are metal and fiber. Both materials have been associated with similar survival rates.17 In teeth with no remaining coronal walls or an absence of ferrule, posts with higher values of elastic modulus, such as fiber posts, have been shown to result in better clinical outcomes when compared with metal posts.18 However, in teeth with at least one remaining coronal wall, restorations with fiber and metal posts demonstrated similar survival rates.18 The choice of which material to use should be based on the specific case and patient factors (Figure 4 and Figure 5).

Evidence-Based Placement

When post placement is indicated, the risks of placement can be mitigated by carefully following evidence-based protocols. Ideally, the post space should be created at the time of obturation because some literature indicates that post spaces created immediately after obturation result in less apical leakage than those created 1 week later.19,20 If the removal of gutta percha is necessary, it should be accomplished with heated instruments or mechanical reamers.21 The removal of gutta percha with chemical solvents has been shown to result in significantly more leakage than heated or mechanical methods and should be avoided.11

Care should be taken to ensure that post placement procedures do not further compromise teeth through the removal of additional tooth structure. When possible, all posts should be placed within the instrumented root canal space. However, if a post space is prepared within a previously prepared endodontic canal space, the post preparation will minimally decrease the remaining root dentin because most dentin removal occurs during cleaning and shaping of a canal.13 Research indicates that strip perforations during post placement are more common when post spaces are created with Gates Glidden-style drills that are size 4 or larger, which suggests that post spaces should only be prepared up to the width of a size 3.12 Finally, and perhaps most importantly, rubber dam isolation should be used during post space preparation and post placement because it has been shown to significantly improve clinical success.22

Keys to Success

Regardless of the method of post placement, the establishment of a coronal seal following endodontic treatment is a major predictor of clinical success. The timing of post, core, and crown placement after endodontic treatment is crucial. Delayed placement of the final restoration significantly reduces the survival rate of endodontically treated teeth. Furthermore, failure rates have been shown to be greater when a post and core are placed more than 60 days after endodontic treatment.23 Survival rates also decrease when the definitive restoration is placed more than 60 days after placement of the post and core.23 Therefore, timely placement of the post and core as well as the definitive crown is necessary to provide the best long-term outcomes. Another key factor to increase the clinical success of restored premolars and molars is to ensure that they are restored with cuspal coverage.3 For anterior teeth, full-coverage restorations are not necessary unless minimal coronal tooth structure remains because full-coverage restorations do not improve their success rates (Figure 6 and Figure 7).3 After a post-retained restoration is complete, patients should be counseled to immediately return if it dislodges. Lipopolysaccharides, which are also known as endotoxins, are pathogenic factors in gram-negative bacteria that have been shown to reach the apical tissues of an unsealed tooth within only 21 days.24 If a patient does not return in a timely manner and leakage has occurred, re-treatment of the root canal may be indicated.

Conclusion

Adhesive dentistry has reduced the necessity of post placement in endodontically treated teeth. When adequate tooth structure remains for bonding, posts do not improve the strength of teeth, nor do they improve long-term clinical outcomes. Post placement is also associated with significant risk that should be communicated to patients when the use of a post has been deemed necessary. Consequently, clinicians should carefully evaluate the need for post placement in endodontically treated teeth and, when indicated, follow evidence-based recommendations for post selection and placement to minimize the risks.

Queries regarding this course may be submitted to authorqueries@broadcastmed.com

About the Authors

Abigail Baldwin
DMD Candidate, 2023
Harvard University
School of Dental Medicine
Boston, Massachusetts

Brooke Blicher, DMD
Assistant Clinical Professor
Department of Endodontics
Tufts University
School of Dental Medicine
Boston, Massachusetts
Clinical Instructor
Department of Restorative Dentistry and Biomaterials Science
Harvard University
School of Dental Medicine
Boston, Massachusetts
Cofounder
Pulp Nonfiction Endodontics
Private Practice
White River Junction, Vermont

Rebekah Lucier Pryles, DMD
Assistant Clinical Professor
Department of Endodontics
Tufts University
School of Dental Medicine
Boston, Massachusetts
Clinical Instructor
Department of Restorative Dentistry and Biomaterials Science
Harvard University
School of Dental Medicine
Boston, Massachusetts
Cofounder
Pulp Nonfiction Endodontics
Private Practice
White River Junction, Vermont

References

1. Goodacre CJ, Spolnik KJ. The prosthodontic management of endodontically treated teeth: a literature review. Part I. Success and failure data, treatment concepts. J Prosthodont. 1994;3(4):243-250.

2. Fokkinga WA, Kreulen CM, Bronkhorst EM, Creugers NHJ. Up to 17-year controlled clinical study on post-and-cores and covering crowns. J Dent. 2007;35(10):778-786.

3. Sorensen JA, Martinoff JT. Intracoronal reinforcement and coronal coverage: a study of endodontically treated teeth. J Prosthet Dent. 1984;51(6):780-784.

4. Doyle SL, Hodges JS, Pesun IJ, et al. Factors affecting outcomes for single-tooth implants and endodontic restorations. J Endod. 2007;33(4):399-402.

5. Ferrari M, Vichi A, Fadda GM, et al. A randomized controlled trial of endodontically treated and restored premolars. J Dent Res. 2012;91(7 Suppl):S72-S78.

6. Naumann M, Schmitter M, Frankenberger R, Krastl G. "Ferrule comes first. Post is second!" Fake news and alternative facts? A systematic review. J Endod. 2018;44(2):212-219.

7. Zhu Z, Dong XY, He S, et al. Effect of post placement on the restoration of endodontically treated teeth: a systematic review. Int J Prosthodont. 2015;28(5):475-483.

8. Juloski J, Radovic I, Goracci C, et al. Ferrule effect: a literature review. J Endod. 2012;38(1):11-19.

9. Goodacre CJ, Bernal G, Rungcharassaeng K, Kan JYK. Clinical complications in fixed prosthodontics. J Prosthet Dent. 2003;90(1):31-41.

10. Maroulakos G, He J, Nagy WW. The post-endodontic adhesive interface: theoretical perspectives and potential flaws. J Endod. 2018;44(3):363-371.

11. Mattison GD, Delivanis PD, Thacker RW Jr, Hassell KJ. Effect of post preparation on the apical seal. J Prosthet Dent. 1984;51(6):785-789.

12. Kuttler S, McLean A, Dorn S, Fischzang A. The impact of post space preparation with Gates-Glidden drills on residual dentin thickness in distal roots of mandibular molars. J Am Dent Assoc. 2004;135(7):903-909.

13. Katz A, Tamse A. A combined radiographic and computerized scanning method to evaluate remaining dentine thickness in mandibular incisors after various intracanal procedures. Int Endod J. 2003;36(10):682-686.

14. Shillingburg HT. Fundamentals of Fixed Prosthodontics. 3rd ed. Quintessence; 1997.

15. Schwartz RS, Robbins JW. Post placement and restoration of endodontically treated teeth: a literature review. J Endod. 2004;30(5):289-301.

16. Jung RE, Kalkstein O, Sailer I, et al. A comparison of composite post buildups and cast gold post-and-core buildups for the restoration of nonvital teeth after 5 to 10 years. Int J Prosthodont. 2007;20(1):63-69.

17. Figueiredo FED, Martins-Filho PRS, Faria-E-Silva AL. Do metal post-retained restorations result in more root fractures than fiber post-retained restorations? A systematic review and meta-analysis. J Endod. 2015;41(3):309-316.

18. Sarkis-Onofre R, Fergusson D, Cenci MS, et al. Performance of post-retained single crowns: a systematic review of related risk factors. J Endod. 2017;43(2):175-183.

19. Bourgeois RS, Lemon RR. Dowel space preparation and apical leakage. J Endod. 1981;7(2):66-69.

20. Fan B, Wu MK, Wesselink PR. Coronal leakage along apical root fillings after immediate and delayed post space preparation. Endod Dent Traumatol. 1999;15(3):124-126.

21. Madison S, Zakariasen KL. Linear and volumetric analysis of apical leakage in teeth prepared for posts. J Endod. 1984;10(9):422-427.

22. Goldfein J, Speirs C, Finkelman M, Amato R. Rubber dam use during post placement influences the success of root canal-treated teeth. J Endod. 2013;39(12):1481-1484.

23. Yee K, Bhagavatula P, Stover S, et al. Survival rates of teeth with primary endodontic treatment after core/post and crown placement. J Endod. 2018;44(2):220-225.

24. Trope M, Chow E, Nissan R. In vitro endotoxin penetration of coronally unsealed endodontically treated teeth. Endod Dent Traumatol. 1995;11(2):90-94.

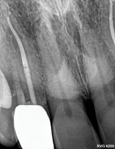
(1.) A radiograph of a root fracture associated with a threaded post, cone-beam computed tomography views of a perforation associated with a post, and a radiograph demonstrating evidence of apical leakage associated with posts, respectively.

Figure 1

(2.) A radiograph of a root fracture associated with a threaded post, cone-beam computed tomography views of a perforation associated with a post, and a radiograph demonstrating evidence of apical leakage associated with posts, respectively.

Figure 2

(3.) A radiograph of a root fracture associated with a threaded post, cone-beam computed tomography views of a perforation associated with a post, and a radiograph demonstrating evidence of apical leakage associated with posts, respectively.

Figure 3

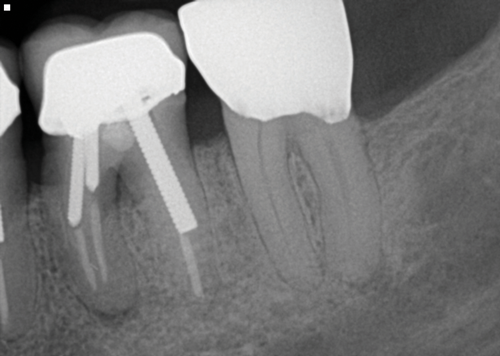
(4.) Radiographs of teeth treated with prefabricated and custom cast posts, respectively.

Figure 4

(5.) Radiographs of teeth treated with prefabricated and custom cast posts, respectively.

Figure 5

(6.) Pretreatment and posttreatment radiographs of an endodontically treated anterior tooth with minimal remaining coronal tooth structure that benefited from a post, a core, and full-coverage restorative care.

Figure 6

(7.) Pretreatment and posttreatment radiographs of an endodontically treated anterior tooth with minimal remaining coronal tooth structure that benefited from a post, a core, and full-coverage restorative care.

Figure 7

Take the Accredited CE Quiz:

CREDITS: 2 SI
AGD CODE: 70 - Endodontics
COST: $16.00
PROVIDER: Conexiant Education
SOURCE: Inside Dentistry | January 2023

Learning Objectives:

  • Summarize the indications for post placement in endodontically treated teeth.
  • Discuss the risks associated with post placement.
  • Explain the criteria that should be used in post selection.
  • Describe some of the evidence-based protocols used in post placement.

Disclosures:

The author reports no conflicts of interest associated with this work.

Queries for the author may be directed to justin.romano@broadcastmed.com.